Difference between revisions of "Projects:RegistrationLibrary:RegLib C01"

From NAMIC Wiki
Jump to: navigation, search
Line 3: Line 3:
 
[[Projects:RegistrationDocumentation:UseCaseInventory|Back to Registration Use-case Inventory]] <br>
 
[[Projects:RegistrationDocumentation:UseCaseInventory|Back to Registration Use-case Inventory]] <br>
  
==Slicer Registration Use Case Exampe #2: Inter-subject Brain MRI: T1,T2 + MRA, DWI==
+
==Slicer Registration Use Case Exampe #2: Inter-subject Brain MRI: axial T1 Tumor Growth AssessmentI==
 
{| style="color:#bbbbbb; background-color:#333333;" cellpadding="10" cellspacing="0" border="0"
 
{| style="color:#bbbbbb; background-color:#333333;" cellpadding="10" cellspacing="0" border="0"
|[[Image:RegUC_thumb_T1_SPGR_sag.png|150px|lleft|this is the fixed reference image. All images are aligned into this space]]  
+
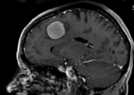
|[[Image:RegUC2_thumb_t0.png|150px|lleft|this is the fixed reference image. All images are aligned into this space]]  
 
|[[Image:Arrow_left_gray.jpg|100px|lleft]]  
 
|[[Image:Arrow_left_gray.jpg|100px|lleft]]  
|[[Image:RegUC_thumb_FLAIR_sag.png|150px|lleft|this is the moving image. The transform is calculated by matching this to the reference image]]
+
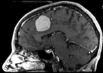
|[[Image:RegUC2_thumb_t1.png|150px|lleft|this is the moving image. The transform is calculated by matching this to the reference image]]
|[[Image:RegUC_thumb_FLAIR_sag_labelmap.jpg|150px|lleft|this is a passive image to which the calculated transform is applied. It is a label-map in the same space as the moving FLAIR image]]
 
 
|align="left"|LEGEND<br>
 
|align="left"|LEGEND<br>
 
[[Image:Button_red_fixed.jpg|20px|lleft]]  this indicates the reference image that is fixed and does not move. All other images are aligned into this space and resolution<br>
 
[[Image:Button_red_fixed.jpg|20px|lleft]]  this indicates the reference image that is fixed and does not move. All other images are aligned into this space and resolution<br>
 
[[Image:Button_green_moving.jpg|20px|lleft]]  this indicates the moving image that determines the registration transform.  <br>
 
[[Image:Button_green_moving.jpg|20px|lleft]]  this indicates the moving image that determines the registration transform.  <br>
[[Image:Button_blue_tag.jpg|20px|lleft]] this indicates images that passively move into the reference space, i.e. they have the transform applied but do not contribute to the calculation of the transform.
 
 
|-
 
|-
 
|[[Image:Button_red_fixed.jpg|40px|lleft]]  T1 SPGR  
 
|[[Image:Button_red_fixed.jpg|40px|lleft]]  T1 SPGR  
 
|
 
|
 
|[[Image:Button_green_moving.jpg|40px|lleft]] T2 FLAIR  
 
|[[Image:Button_green_moving.jpg|40px|lleft]] T2 FLAIR  
|[[Image:Button_blue_tag.jpg|40px|lleft]] LABEL-MAP
 
 
|-
 
|-
|1mm isotropic<br> 256 x 256 x 146<br>RAS
+
|0.9375 x 0.9375 x 1.4 mm isotropic<br> 256 x 256 x 112<br>RAS
 
|
 
|
|1.2mm isotropic<br> 256 x 256 x 116<br>RAS
+
|0.9375 x 0.9375 x 1.2 mm<br> 256 x 256 x 130<br>RAS
|1.2mm isotropic<br> 256 x 256 x 116<br>RAS
 
 
|}
 
|}
 
===Objective / Background ===
 
===Objective / Background ===

Revision as of 19:36, 21 November 2009

Home < Projects:RegistrationLibrary:RegLib C01

Back to ARRA main page
Back to Registration main page
Back to Registration Use-case Inventory

Slicer Registration Use Case Exampe #2: Inter-subject Brain MRI: axial T1 Tumor Growth AssessmentI

this is the fixed reference image. All images are aligned into this space lleft this is the moving image. The transform is calculated by matching this to the reference image LEGEND

lleft this indicates the reference image that is fixed and does not move. All other images are aligned into this space and resolution
lleft this indicates the moving image that determines the registration transform.

lleft T1 SPGR lleft T2 FLAIR
0.9375 x 0.9375 x 1.4 mm isotropic
256 x 256 x 112
RAS
0.9375 x 0.9375 x 1.2 mm
256 x 256 x 130
RAS

Objective / Background

This scenario occurs in many forms whenever we wish to align all the series from a single MRI exam/session into a common space. Alignment is necessary because the subject likely has moved in between series.

Keywords

MRI, brain, head, intra-subject, FLAIR, T1, defacing, masking, labelmap, segmentation

Input Data

  • Button red fixed white.jpgreference/fixed : T1 FLASH , 1x1x1 mm voxel size, sagittal, RAS orientation.
  • Button green moving white.jpg moving: T2 1.2x1.2x1.2 mm voxel size, sagittal, RAS orientation.
  • Button blue tag white.jpgtag: segmentation labelmap obtained from FLAIR.
  • Content preview: Have a quick look before downloading: Does your data look like this? [[Media:]] , [[Media:]]
  • download dataset to load into slicer (~17 MB zip archive)

Registration Challenges

  • as with all inter-subject registration, there is no perfect solution
  • we have very diffferent amounts of initial misalignment.
  • the intra-subject sequences are not aligned either
  • the different series may have different FOV.
  • the different series may have different resolution / voxel sizes.

Key Strategies

  • the SPGR is the anatomical reference. It is also higher resolution. Unless there are overriding reasons, always use the highest resolution image as your fixed/reference.
  • the defacing of the SPGR image introduces sharp edges that can be detrimental. Best to mask that area. If you have the mask available, use it. But in this case since we already have a skull-stripping mask as part of the labelmap, that is even better. We will load the labelmap and use it as mask in finding the registration
  • because the two images are still reasonably similar in contrast, we can choose an intensity ratio as cost function, which is less stable but if successful provides a more precise alignment than mutual information.

Procedures

Registration Results