Difference between revisions of "2011 Winter Project Week:SegEye"

From NAMIC Wiki
Jump to: navigation, search
Line 1: Line 1:
 
__NOTOC__
 
__NOTOC__
  
[[File:3D_eye.png|400px|thumb|left|alt text]]
+
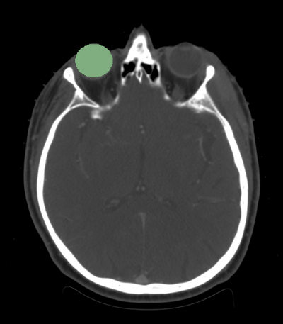
[[File:3D_eye.png|400px|thumb|left|Segmentation of eye ball]]
 +
[[File:2D_eye.png|400px|thumb|left|segmentation of eye ball axial view]]
  
 
<gallery>
 
<gallery>
Image:3D_Eye.png | Segmentation of eye ball
+
Image:3D_eye.png | Segmentation of eye ball
 
Image:2D_eye.png | Same segmentation in a 2D view
 
Image:2D_eye.png | Same segmentation in a 2D view
 
</gallery>
 
</gallery>

Revision as of 18:36, 23 December 2010

Home < 2011 Winter Project Week:SegEye


Segmentation of eye ball
segmentation of eye ball axial view

Key Investigators

  • Georgia Tech: Ivan Kolesov and Allen Tannenbaum
  • MGH: Gregory Sharp

Objective

  • We are interested in segmenting the eye ball, lens, optic nerve, and the optic chiasm.
  • Anatomical structures are highly sensitive to radiation.
  • We are creating a framework to perform these segmentations, which is likely to require a different approach for each structures due to the proximity of multiple structures to each other.

Approach

  • Pivotal organ is considered the eye since its segmentation will localize the region of interest when looking for other structures.
  • We will reduce the dimensionality of this problem by performing model based segmentation for each structure.
  • Once the eye is segmented, we use this knowledge to locate the lens/ initialize optic nerve segmentation.
  • We would like to leverage the information provided by a CT scan with additional data from an MRI -- we have to consider this registration problem.



Progress

  • We have the eye ball segmentation.