Difference between revisions of "2015 Summer Project Week:T1 mapping"
From NAMIC Wiki
Stevedaxiao (talk | contribs) |
Stevedaxiao (talk | contribs) |
||
| Line 11: | Line 11: | ||
==Project Description== | ==Project Description== | ||
T1 mapping estimates effective tissue parameter maps (T1) from multi-spectral FLASH MRI scans with different flip angles. T1 mapping can be used to optimize parameters for a sequence, monitor diseased tissue, measure Ktrans in DCE-MRI and etc. | T1 mapping estimates effective tissue parameter maps (T1) from multi-spectral FLASH MRI scans with different flip angles. T1 mapping can be used to optimize parameters for a sequence, monitor diseased tissue, measure Ktrans in DCE-MRI and etc. | ||
| − | [[File:T1_Mapping_CPP_GUI.png| | + | [[File:T1_Mapping_CPP_GUI.png|350px|thumb|left|T1 Mapping C++ GUI]] |
| − | [[File:Comparison_T1_Mapping_ALL.png| | + | [[File:Comparison_T1_Mapping_ALL.png|450px|thumb|left|Comparison of Different T1 Mapping Tools]] |
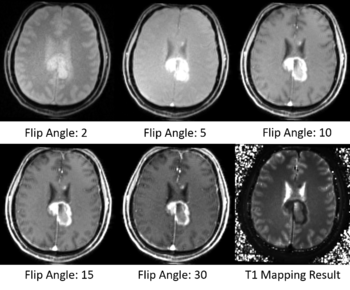
| − | [[File:T1_Mapping_Result_Sample.png| | + | [[File:T1_Mapping_Result_Sample.png|350px|thumb|left|Sample Results of T1 Mapping]] |
== == | == == | ||
<div style="margin: 20px;"> | <div style="margin: 20px;"> | ||
Revision as of 09:35, 24 June 2015
Home < 2015 Summer Project Week:T1 mappingKey Investigators
- Xiao Da (MGH), Yangming Ou (MGH), Andriy Fedorov (BWH), Jayashree Kalpathy-Cramer (MGH)
- Utsav Pardasani (Observing)
Project Description
T1 mapping estimates effective tissue parameter maps (T1) from multi-spectral FLASH MRI scans with different flip angles. T1 mapping can be used to optimize parameters for a sequence, monitor diseased tissue, measure Ktrans in DCE-MRI and etc.
Objective
- Estimate effective T1 from multi-spectral FLASH MRI scans with different flip angles
- Implement T1 mapping algorithm as a Slicer extension using C++
Approach, Plan
- Start with prostate diffusion module
- Update equations for T1 mapping
- Compare the results using C++, Python, Freesurfer with ground truth of T1 for QIBA phantom
- Test the Slicer module on MGH Brain Tumor MR Data with multiple flip angles
Progress
- Equations have already been updated
- Working on the GUI
- Working on the comparison