Difference between revisions of "Projects:FornixTractography"
| Line 9: | Line 9: | ||
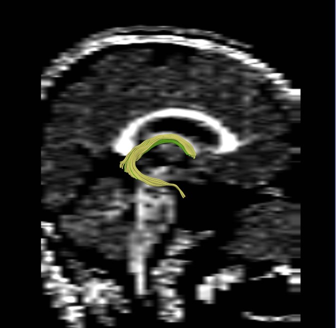
We apply fiber tractography to quantify fornix Fractional Anisotropy (FA) in schizophrenia. Two ROI method (shown in the figures) were used to extract left and right fornix in 34 chronic schizophrenia subjects and 40 matched controls, and mean FA along the entire tract was extracted separately for the left and the right sides and compared between groups. Preliminary data indicate bilateral decreased FA in the fornix of schizophrenics. | We apply fiber tractography to quantify fornix Fractional Anisotropy (FA) in schizophrenia. Two ROI method (shown in the figures) were used to extract left and right fornix in 34 chronic schizophrenia subjects and 40 matched controls, and mean FA along the entire tract was extracted separately for the left and the right sides and compared between groups. Preliminary data indicate bilateral decreased FA in the fornix of schizophrenics. | ||
| − | [[image:fornix_roi1.jpg]] [[image:fornix_roi2.jpg]] | + | [[image:fornix_roi1.jpg|300px]] [[image:fornix_roi2.jpg|300px]] |
[[image:fornix_tracts.jpg]] | [[image:fornix_tracts.jpg]] | ||
Revision as of 14:01, 19 April 2007
Home < Projects:FornixTractographyObjectives:
Fiber tracts, especially those interconnecting the frontal and temporal lobes, are likely implicated in schizophrenia. Very few studies have focused on the fornix. The goal of this project is to examine the integrity of fibers in the fornix in patients with schizophrenia.
Key Investigators:
Harvard PNL: Jennifer Fitzsimmons, Marek Kubicki, Kate Smith, Martha Shenton. MIT: Carl-Fredrick Westin, Raul San Jose
Progress:
We apply fiber tractography to quantify fornix Fractional Anisotropy (FA) in schizophrenia. Two ROI method (shown in the figures) were used to extract left and right fornix in 34 chronic schizophrenia subjects and 40 matched controls, and mean FA along the entire tract was extracted separately for the left and the right sides and compared between groups. Preliminary data indicate bilateral decreased FA in the fornix of schizophrenics.
