Difference between revisions of "Projects/Diffusion/2007 Project Week Contrasting Tractography Measures/ROI Definitions"

From NAMIC Wiki
Jump to: navigation, search
m (Fix MediaWiki formatting issue discovered while converting to GitHub Flavored Markdown using pandoc (via https://github.com/outofcontrol/mediawiki-to-gfm))
Tag: 2017 source edit
 
Line 133: Line 133:
  
  
}
+
|}
  
  
 
Return to [[Projects/Diffusion/2007_Project_Week_Contrasting_Tractography_Measures | Contrasting Tractography Project page]]
 
Return to [[Projects/Diffusion/2007_Project_Week_Contrasting_Tractography_Measures | Contrasting Tractography Project page]]

Latest revision as of 20:40, 11 April 2023

Home < Projects < Diffusion < 2007 Project Week Contrasting Tractography Measures < ROI Definitions


NOTE: FORNIX LABELS UPDATED ON AUGUST 3rd.

This page describes the definition of the regions of interest for five fiber bundles: the Internal Capsule, the Uncinate Fasciculus, the Fornix, the Arcuate Fasciculus and the Cingulum Bundle.
Color Palette

Seed points were defined using a two ROIs approach. Each ROI was drawn on FA and color by orientation maps according to the criteria defined below:

Internal Capsule (IC)

Connects thalamus with frontal lobe. Involved in executive functions and working memory, both of these cognitive skills are abnormal in schizophrenia.

Anterior limb of internal capsule, specifically interested in thalamocortical connections to frontal cortex.

ROI1

The inferior boundary of ROI1 was defined by an axial slice containing the anterior commisure (Fig.1).

The left and right ROI1s were drawn on a coronal slice containing the anterior commisure, on each side of the midsagittal line (Fig.2). The superior boundary of each ROI1 was defined by the caudate/putamen line

Internal Capsule
Figure1. Axial View of the Anterior Commisure, which serves as the bottom boundary of ROI 1
Figure 2. Coronal View of ROI 1 (left and right), showing the inferior boundary (in purple)

ROI2

The most anterior coronal slice of the corpus collosum was selected using a sagittal view (Fig 3), and the ROI2s were defined by the whole sections of the left and right hemispheres of the brain (Fig 4).

Figure 3.Internal Capsule ROI's 1 and 2 (left)
Figure 4.Coronal View of ROI 2 (left and right)

The color coding of the resulting ROIs is as follows:

ROI 1: Left(7) - Right(8)
ROI 2: Left(11) - Right(12)

Uncinate Fasciculus (UNC)

Connects temporal pole and orbito-frontal gyrus. Involved in episodic memory, verbal learning, and emotion. Related to affective flattening and episodic memory dysfunctions in schizophrenia.

Uncinate Fasciculus

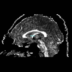
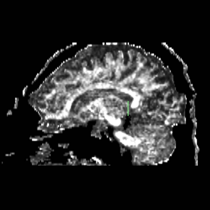
The most prominant (central) slice of the fornix was identified using a sagittal view (Fig. 5), and the ROI1s and ROI2s were drawn on the coronal slice adjacent to the most anterior point of the fornix (Fig. 6).

Figure 5. Sagittal view of the fornix, located centrally in the brain
Figure 6. Coronal View of ROI 1 and ROI 2, (left and right)

Figure 7.Uncinate Fasciculus ROI's 1 and 2 (left)

The color coding of the resulting ROIs is as follows:

ROI 1: Left(7) - Right(8)
ROI 2: Left(11) - Right(12)

Fornix

Connects hippocampus with other brain regions (thalamus, prefrontal cortex). Involved in spatial learning and memory. Related to memory deficits in schizophrenia.

Fornix

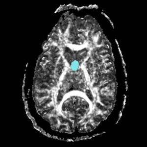
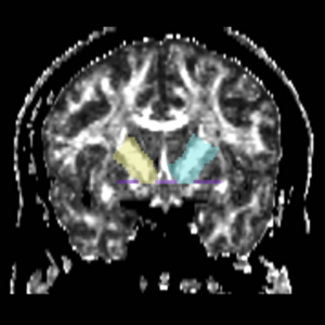
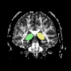
ROI 1 was drawn on the sagittal slice, 5 slices superior to the anterior commisure (Fig. 8 & 10). ROI 2 was drawn on a coronal slice where the crux of the fornix was present. It was not always the same slice for both sides (Fig. 9 & 11).


Figure 8. Axial View of ROI 1
Figure 9. Coronal View of ROI 2 (left=11, right=13)
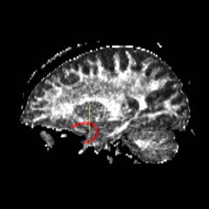
Figure 10. Sagittal View of Fornix, ROI 1 (both left and right)
Figure 11. Sagittal View of Fornix, ROI 2 (right)

The color coding of the resulting ROIs is as follows:

ROI 1: Left & Right (7)
ROI 2: Left(8) - Right(6)

Arcuate Fasciculus

Connects Broca’s and Wernicke’s areas. Involved in language processing. Abnormalities here could be related to thought disorder and semantic processing disruptions that are hallmarks of schizophrenia.

Arcuate Fasciculus

These labelmaps ('caseD00XXX-FS-arcuate-final.nhdr') were created using automatic gray matter parcellation in Freesurfer and coregistered in Slicer to corresponding DTI dataset. The labelmaps were dilated in Slicer to increase coverage of gray matter.


Figure 12. Gray matter ROI's for Arcuate Fasciculus tractography
Figure 13. Gray matter ROIs (right side) in 3D

The color coding of the resulting ROIs is as follows:

ROI 1: Superior Temporal Gyrus - Left(5) - Right(6)
ROI 2:Inferior Frontal Gyrus- Left(13) - Right (14)

Second generation ROI

The ROIs were generated based on the FreeSurfer cortical parcellation, dilated to include the underlying white matter and mapped back into the DWI-Ed-EPI space:

left side: source: Inferior Frontal Gyrus and Sulcus (label #2) ; sink: Superior Temporal Gyrus and Sulcus(label #7)
right side: source: Inferior Frontal Gyrus and Sulcus (label #8); sink: Superior Temporal Gyrus and Sulcus (label #9 ).

Cingulum Bundle

Interconnects limbic structures (DLPFC, cingulate gyrus, parahippocampal gyrus). Involved in attention, emotions, spatial orientation, memory. Abnormalities here could be related to negative symptoms, hallucinations, memory and executive attentional deficits in schizophrenia.

Tractography - 4 ROIs define Connectivity - Orbital frontal cortex to amygdala

Cingulum

ROI 1) A coronal plane in the most anterior point of the corpus callosum was selected using the mid-saggital plane (Fig.18), and the left and right ROI1s were drawn on the superior side of the corpus callosum (Fig.15)

ROI 2) & ROI 3) The first coronal slice where the left and right corpus connect was selected: the left and right ROI2s were drawn on the superior side of the corpus and the left and right ROI3s were drawn on the inferior side of the corpus (Fig. 16 & 18)

ROI 4) The first coronal slice showing where the middle cerebellar peduncle was slected, and the left and right ROI4s were drawn(Fig. 17 & 19)


Figure 15. Coronal View of Cingulum Bundle ROI 1, Left and Right
Figure 16. Coronal View of Cingulum Bundle ROI's 2 & 3, left and right
Figure 17. Coronal View of Cingulum Bundle ROI 4, left and right
Figure 18. Cingulum Bundle ROI's 1, 2, and 3
Figure 19. Cingulum Bundle ROI 4

The color coding of the resulting ROIs is as follows:

ROI 1: Left(7) - Right(8)
ROI 2: Left(9) - Right(16)
ROI 3: Left(11) - Right(12)
ROI 4: Left(13) - Right(14)



Return to Contrasting Tractography Project page