MeningiomaMRIRegistrationStudy

From NAMIC Wiki
Revision as of 15:34, 20 July 2009 by Fedorov (talk | contribs) (→‎Data)
Jump to: navigation, search
Home < MeningiomaMRIRegistrationStudy

Objective

Accurate registration of same patient/same modality MRI data for longitudinal analysis of tumor progression.

Specific Aims

  1. Compare the accuracy of registration using existing Slicer and non-Slicer tools
  2. Identify parameter settings that produce satisfactory results
  3. Outline the limitations of the available registration tools in the context of the specific clinical research application

Data

  • Input images: isotropic post-contrast T1 MRI acquired at different locations of BWH during 2006-2008, used under medical records study IRB. Time period between acquisition of scans for each patient is about 1 year.
  • Ground truth transformation: not available
  • Expert landmarks for registration evaluation: not available
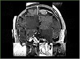
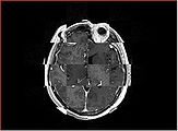
  • Checkerboard appearance of unregistered images for the representative data of interest
    • Case10

Measures of success

  • qualitative assessment: visually pleasing results
  • quantitative assessment: something better than "visually pleasing" (TBD)
  • minimum execution time

Methods

Registration

RegisterImages Slicer module

RigidRegistration Slicer module

BRAINSFit

FSL FLIRT

Parameter exploration

Validation and accuracy assessment

Results

Conclusions