2013 Project Week:US IGT

From NAMIC Wiki
Revision as of 16:33, 11 January 2013 by Mt (talk | contribs) (→‎Result)
Jump to: navigation, search
Home < 2013 Project Week:US IGT

Ultrasound Guidance for Neurosurgery

Key Investigators

  • Matthew Toews, BWH - Harvard Medical School
  • William Wells, BWH - Harvard Medical School
  • Stephen Aylward, Kitware
  • Tamas Ungi, Queens University

Project Description

Objective

  • Develop a system to use calibrated, tracked ultrasound (US) to intra-operatively track and visualize pre-operatively defined neurosurgical targets.
  • Challenges: 2D-3D registration, intra-operative deformation and missing tissue, inter-modal image registration.

Approach, Plan

  • Data preparation: US image and probe tracking information (PLUS system).
  • Code development: pre-op to intra-op image matching using local image features.

Progress

Developed and tested code for:

  • Input of PLUS US data
  • Computation of local feature correspondences between different US sweeps


Result

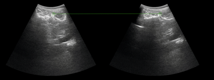
Example result: Correspondences computed between different US sweeps, PLUS kidney data
Preliminary Results: Features correspondences, Kidney Ultrasound Sweeps
Preliminary Results: Features correspondences, Kidney Ultrasound Sweeps