Collaboration/MGH/Radiation Therapy Radiation Therapy Planning
Return to Project Week Main Page |
Key Investigators
- MGH: Greg Sharp, others (TBD)
- BWH: Tina Kapur, Sandy Wells, Steve Pieper, Katie Hayes (TBD)
Objective
Explore collaboration in areas of mutual interest: segmentation, registration, and interactive tools.
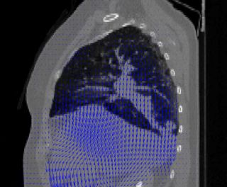
Interactive Segmentation
Modern radiotherapy requires manual contouring of both target structures and healthy normal tissues, to ensure adequate coverage with minimal radiation side effects. The goal of this project is to evaluate if 3d-slicer is capable of providing a comfortable user interface needed for physicians and physicists to perform manual contouring.
Deformable Registration
Accurate assessment of radiation dose to the thorax and abdomen during respiration requires simulation of a static beam that irradiates a moving and deforming target. The goal of this project is to use deformable registration for radiation dose calculations in these sites.
Approach, Plan
Interactive Segmentation
We currently use commercial tools for segmentation. The approach will be to import the best ideas from existing systems, but also include tools which are missing such as tilted-plane drawing tools and intelligent contour interpolation.
Deformable Registration
We currently use standard deformable registration tools (B-splines, RBF, optical flow), but they are not as reliable as they could be. There are many approaches to improve: especially using interactive tools for validation and using segmented regions for guidance.
Progress
This project is in the exploratory stage.
Additional Information
- See pdf file for overview: Media:Sharp-radonc-v1.pdf
