File:Nirepsoftware.jpg

From NAMIC Wiki
Revision as of 19:38, 20 June 2007 by Gec (talk | contribs) (Screen snapshot of the Nonrigid Image Registration Evaluation Project (NIREP) software tool.)
(diff) ← Older revision | Latest revision (diff) | Newer revision → (diff)
Jump to: navigation, search

Original file(856 × 661 pixels, file size: 60 KB, MIME type: image/jpeg)

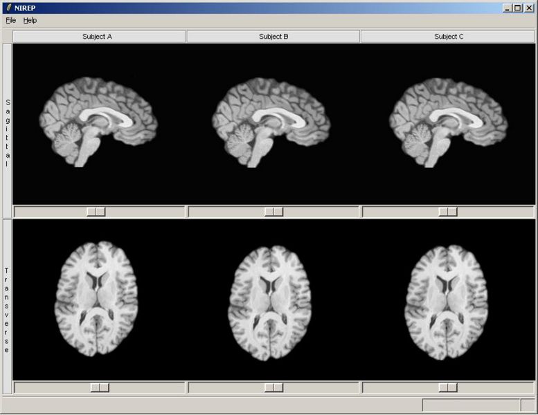
Screen snapshot of the Nonrigid Image Registration Evaluation Project (NIREP) software tool.

File history

Click on a date/time to view the file as it appeared at that time.

Date/TimeThumbnailDimensionsUserComment
current19:38, 20 June 2007Thumbnail for version as of 19:38, 20 June 2007856 × 661 (60 KB)Gec (talk | contribs)Screen snapshot of the Nonrigid Image Registration Evaluation Project (NIREP) software tool.
  • You cannot overwrite this file.

The following page uses this file: