Projects/Diffusion/Contrasting Tractography Measures/Slicer Tractography
From NAMIC Wiki
Revision as of 13:32, 24 September 2007 by
Dougm
(
talk
|
contribs
)
(
diff
)
← Older revision
|
Latest revision
(
diff
) |
Newer revision →
(
diff
)
Jump to:
navigation
,
search
Home
<
Projects
<
Diffusion
<
Contrasting Tractography Measures
< Slicer Tractography
Region
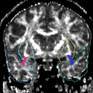
caseD00917
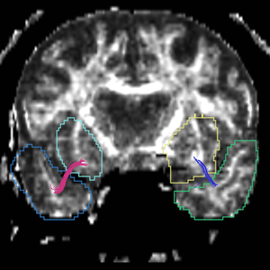
caseD00920
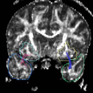
caseD00924
caseD00928
caseD00935
caseD00936
caseD00938
caseD00939
caseD00940
Uncinate Fasciculus
||
||
||
||
||
||
||
Internal Capsule
Fornix
Cingulum
Arcuate Fasciculus
Navigation menu
Views
Page
Discussion
View source
History
Personal tools
Log in
Request account
General
NA-MIC Wiki
Events
Project Week Events
Contact Us
Resources
Links
Recent changes
Search
Tools
What links here
Related changes
Special pages
Printable version
Permanent link
Page information
Cite this page