File:Project week.jpg

From NAMIC Wiki
Revision as of 19:54, 19 December 2007 by Fjanoos (talk | contribs) (fMRI Image of the Brain after Interslice Motion Correction)
(diff) ← Older revision | Latest revision (diff) | Newer revision → (diff)
Jump to: navigation, search

Original file(778 × 757 pixels, file size: 26 KB, MIME type: image/jpeg)

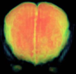
fMRI Image of the Brain after Interslice Motion Correction

File history

Click on a date/time to view the file as it appeared at that time.

Date/TimeThumbnailDimensionsUserComment
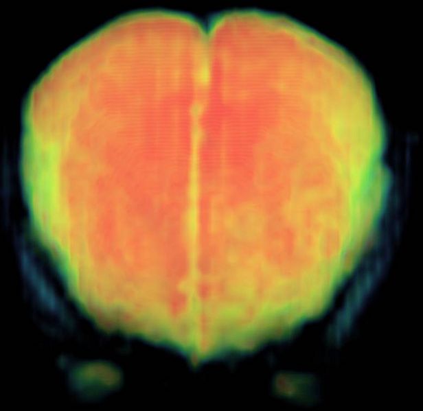
current19:54, 19 December 2007Thumbnail for version as of 19:54, 19 December 2007778 × 757 (26 KB)Fjanoos (talk | contribs)fMRI Image of the Brain after Interslice Motion Correction
  • You cannot overwrite this file.

The following page uses this file: