File:Three templates oasis.png

From NAMIC Wiki
Revision as of 21:22, 16 May 2008 by Msabuncu (talk | contribs) (Three templates computed by iCluster from the OASIS data set)
(diff) ← Older revision | Latest revision (diff) | Newer revision → (diff)
Jump to: navigation, search

Original file(1,352 × 471 pixels, file size: 224 KB, MIME type: image/png)

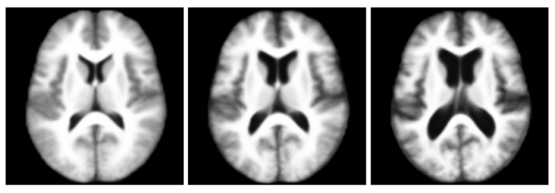
Three templates computed by iCluster from the OASIS data set

File history

Click on a date/time to view the file as it appeared at that time.

Date/TimeThumbnailDimensionsUserComment
current21:22, 16 May 2008Thumbnail for version as of 21:22, 16 May 20081,352 × 471 (224 KB)Msabuncu (talk | contribs)Three templates computed by iCluster from the OASIS data set
  • You cannot overwrite this file.

The following page uses this file: