Projects:RegistrationLibrary:RegLib C01

From NAMIC Wiki
Jump to: navigation, search
Home < Projects:RegistrationLibrary:RegLib C01

Back to ARRA main page
Back to Registration main page
Back to Registration Use-case Inventory

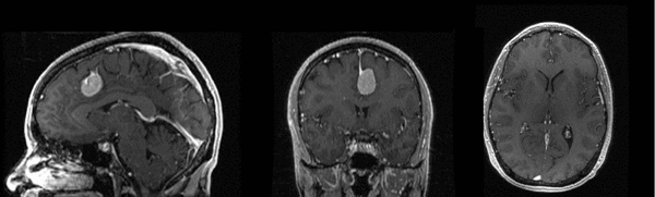
Slicer Registration Use Case Exampe #2: Inter-subject Brain MRI: axial T1 Tumor Growth Assessment

this is the fixed reference image. All images are aligned into this space lleft this is the moving image. The transform is calculated by matching this to the reference image LEGEND

lleft this indicates the reference image that is fixed and does not move. All other images are aligned into this space and resolution
lleft this indicates the moving image that determines the registration transform.

lleft T1 SPGR lleft T1 SPGR
0.9375 x 0.9375 x 1.4 mm
256 x 256 x 112
RAS
0.9375 x 0.9375 x 1.2 mm
256 x 256 x 130
RAS

Objective / Background

This is a classic case of change assessment. We want to know if the tumor changed since last exam.

Keywords

MRI, brain, head, intra-subject, T1, tumor growth, meningioma, change assessment

Input Data

  • Button red fixed white.jpgreference/fixed : T1 SPGR , 0.9375 x 0.9375 x 1.4 mm voxel size, axial, RAS orientation.
  • Button green moving white.jpg moving: T1 SPGR , 0.9375 x 0.9375 x 1.2 mm voxel size, sagittal, RAS orientation.
  • Content preview: Have a quick look before downloading: Does your data look like this? Media:RegUC2_lightbox.png
  • download dataset to load into slicer (~17 MB zip archive)

Registration Challenges

  • accuracy is the critical criterion here. We need the registration error (residual misalignment) to be smaller than the change we want to measure/detect. Agreement on what constitutes good alignment can therefore vary greatly.
  • we have slightly different voxel sizes
  • if the pathology change is substantial it might affect the registration.

Key Strategies

  • the two images have identical contrast, hence we consider "sharper" cost functions, such as NormCorr or MeanSqrd
  • general practice is to register the follow-up to the baseline. However here the follow-up has slightly higher resolution. Unless there are overriding reasons, always use the highest resolution image as your fixed/reference.
  • because we seek to assess/quantify regional size change, we must use a rigid (6DOF) scheme, i.e. we must exclude scaling.
  • if the pathology change is soo large that it might affect the registration, we should mask it out. The simplest way to do this is to build a box ROI from the ROItool and feed it as input to the registration. Remember that masking does not mean that masked areas aren't matched, they just do not contribute to the cost function driving the registration, but move along passively. Next more involved level would be to outline the tumor. If a segmentation is available, you can use that.
  • these two images are not too far apart initially, so we reduce the default of expected translational misalignment
  • because accuracy is more important than speed here, we increase the sampling rate from the default 2% to 15%.
  • we also expect minimal differences in scale & distortion: so we can either set the expected values to 0 or run a rigid registrat
  • we test the result in areas with good anatomical detail and contrast, far away from the pathology.

Download


Registration Results

  • result screenshots (compare with your results)
  • result evaluations (metrics)
original orientation
original orientation
after registration
after registration

|

color overlay after registration. Misalignment/change appears in color