October 07 2009 Meeting: VT-NAMIC Data review summary

From NAMIC Wiki
Revision as of 13:43, 23 December 2009 by Wyatt (talk | contribs)
(diff) ← Older revision | Latest revision (diff) | Newer revision → (diff)
Jump to: navigation, search
Home < October 07 2009 Meeting: VT-NAMIC Data review summary

General comments

We made the following observations about the data at the first time point:

  • In some sobjects the FOV is axis-aligned, while in others it is tilted. These directions were not preserved in the NIFTI data we were previously using.
  • We have two SPGR scans of for each subject, but the scans are not perfectly aligned. Ron: possibly due to coil heating. We cannot right away use these images to average and get better SNR, need to check with imaging people. Not sure if discrepancy is the rigid one.
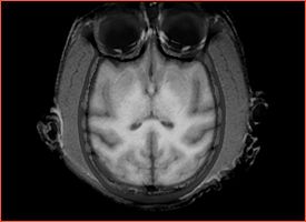
  • Noticeable bias field in the atlas is observed by Ron.

Other observations with illustrations:

Acquisition-related issues

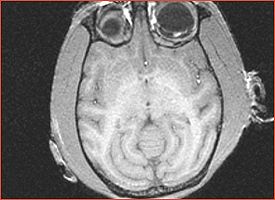
Angio sequence (right name?) has apparently been used for some (7 out of 10) subjects CLW: This is normal T1w blood flow artifact, but it is pronounced, perhaps because of the small brain size.
Fat shift artifact significantly obstructs the cortex in the occipital lobe for all subjects
Ringing artifacts for some (few) subjects
Zero filling artifact
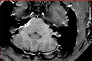
Susceptibility artifacts


Processing-related issues

The issue with noise in Tommy and Louis resolved: we do not know how the NIFTI images we used before for Tommy and Louis were obtained -- the DICOM data has much better noise characteristics
Significant mis-alignment of some subjects with the template subject after FLIRT registration for some subjects is confirmed Should be fixed in the new analysis.


Biology-related issues

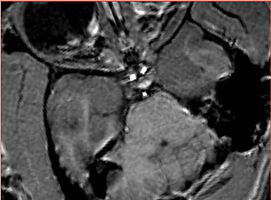
Valentino has structure not consistent with the normal anatomy Ron: this is likely a cyst.