File:Scully Figure3.jpg

From NAMIC Wiki
Revision as of 21:11, 6 January 2010 by Mscully (talk | contribs) (Lupus lesion automated segmentation output compared to manual)
(diff) ← Older revision | Latest revision (diff) | Newer revision → (diff)
Jump to: navigation, search

Original file(945 × 400 pixels, file size: 183 KB, MIME type: image/jpeg)

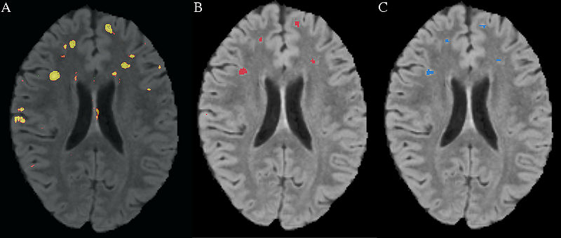
Lupus lesion automated segmentation output compared to manual

File history

Click on a date/time to view the file as it appeared at that time.

Date/TimeThumbnailDimensionsUserComment
current21:11, 6 January 2010Thumbnail for version as of 21:11, 6 January 2010945 × 400 (183 KB)Mscully (talk | contribs)Lupus lesion automated segmentation output compared to manual
  • You cannot overwrite this file.

The following 2 pages uses this file:

Metadata