Main Page
Welcome to the NA-MIC Wiki!
http://wiki.na-mic.org
![]()
Welcome! These wiki pages are meant to encourage quick and efficient communication among the participating investigators and the interested users of NA-MIC. If you are interested in the BIG picture or need an introduction to our project please go to our main web page NA-MIC. To get an idea of the ongoing activities in this project, follow the links in the Navigation box on the left side of this page: Cores and Projects contains information about the activities in the individual NA-MIC cores as well as cross-NCBC activities, the Events pages contains information about upcoming and past NA-MIC events including teleconferences, and the Resources pages contain information about NA-MIC software. |
||
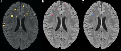
| An Automated Method For Segmenting White Matter Lesions Through Multi-level Morphometric Feature Classification With Application to Lupus. Read more... | ||
Slicer 3.6 Released
The Slicer community is pleased to announce the release of Slicer 3.6. Dozens of developers have contributed powerful new technologies and solutions to this major release. To learn more about Slicer 3.6 please follow this link.
Summer 2010 Tutorial Contest
Events
A list of all our past and upcoming events.
NA-MIC Collaborations
This is a list of our internal and external collaborative projects.
NA-MIC Kit
The NA-MIC Kit consists of software and software engineering methods that are used and developed by NA-MIC, including Slicer3. For training in the use of Slicer3 see here.
NA-MIC Programming/Project Events
NA-MIC Project Week is a hands on activity -- programming using the NA-MIC Kit, algorithm design, and clinical applications. The link above leads to results from project weeks held since 2005.
Pages for Affiliated Research Teams and Organizations
NIH Page
- This page contains useful information provided by our NIH officers.


