2011 Winter Project Week:SegEye
From NAMIC Wiki
Revision as of 18:34, 23 December 2010 by Ivan.kolesov (talk | contribs)
Home < 2011 Winter Project Week:SegEye
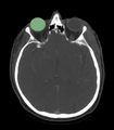
File:3D Eye.png.png
alt text
- 3D Eye.png
Segmentation of eye ball
Key Investigators
- Georgia Tech: Ivan Kolesov and Allen Tannenbaum
- MGH: Gregory Sharp
Objective
- We are interested in segmenting the eye ball, lens, optic nerve, and the optic chiasm.
- Anatomical structures are highly sensitive to radiation.
- We are creating a framework to perform these segmentations, which is likely to require a different approach for each structures due to the proximity of multiple structures to each other.
Approach
- Pivotal organ is considered the eye since its segmentation will localize the region of interest when looking for other structures.
- We will reduce the dimensionality of this problem by performing model based segmentation for each structure.
- Once the eye is segmented, we use this knowledge to locate the lens/ initialize optic nerve segmentation.
- We would like to leverage the information provided by a CT scan with additional data from an MRI -- we have to consider this registration problem.
Progress
- We have the eye ball segmentation.