Projects:QuantitativeSusceptibilityMapping

From NAMIC Wiki
Jump to: navigation, search
Home < Projects:QuantitativeSusceptibilityMapping

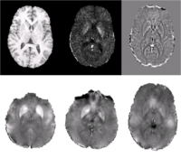
Quantifying magnetic susceptibility in the brain from the phase of the MR signal provides a non-invasive means for measuring the accumulation of iron believed to occur with aging and neurodegenerative disease. Phase observations from local susceptibility distributions, however, are corrupted by external biasfields, which may be identical to the sources of interest. Furthermore, limited observations of the phase makes the inversion ill-posed. We describe a variational approach to susceptibility estimation that incorporates a tissue-air atlas to resolve ambiguity in the forward model, while eliminating additional biasfields through application of the Laplacian. Results show qualitative improvement over two methods commonly used to infer underlying susceptibility values, and quantitative susceptibility estimates show better correlation with postmortem iron concentrations than competing methods.

Description

There is increasing evidence that excessive iron deposition in specific regions of the brain is associated with neurodegenerative disorders such as Alzheimer's and Parkinson's disease [1]. The role of iron in the pathogenesis of these diseases remains unknown and is difficult to determine without a non-invasive method to quantify its concentration in-vivo. Since iron is a ferromagnetic substance, changes in iron concentration result in local changes in the magnetic susceptibility of tissue. In magnetic resonance imaging (MRI) experiments, differences in magnetic susceptibility cause perturbations in the local magnetic field, which can be computed from the phase of the MR signal.


The field perturbations caused by magnetic susceptibility differences can be modeled as the convolution of a dipole-like kernel with the spatial susceptibility distribution. In the Fourier domain, the kernel exhibits zeros at the magic angle, preventing direct inversion of the fieldmap [3]. Critically, limited observations of the field make the problem ill-posed. The observed data is also corrupted by confounding biasfields (ie. those from tissue-air interfaces, mis-set shims, and other non-local sources). Eliminating these fields is critical for accurate susceptibility estimation since they corrupt the phase contributions from local susceptibility sources.


In general, methods that rely heavily on agreement between observed and predicted field values computed using kernel-based forward models [2, 3, 6] are inherently limited since they cannot distinguish between low frequency biasfields and susceptibility distributions that are eigenfunctions of the model. Examples of such distributions include constant, linear, and quadratic functions of susceptibility along the main field (ie. 'z') direction. Applying the forward model to these distributions results in predicted fields that are proportional to the local susceptibility sources, but also identical in form to non-local biasfields (ie. those produced by a z-shim). Therefore, removing all low frequency fields prior to susceptibility estimation will eliminate the biasfield as well as fields due to the sources of interest, potentially preventing accurate calculation of the underlying susceptibility values. In contrast, inadequate removal of the biasfield may result in the estimation of artifactual susceptibility eigenfunctions in areas where the biasfield is strong, such as regions adjacent to tissue-air interfaces. This suggests that additional information such as boundary conditions or priors may be necessary to regularize an incomplete forward model and prevent the mis-estimation of low frequency biasfields.


We present a variational approach for Atlas-based Susceptibility Mapping (ASM) that performs simultaneous susceptibility estimation and biasfield removal using the Laplacian operator and a tissue-air susceptibility atlas. In [7, 8, 6] it was shown that applying the Laplacian to the observed field eliminates non-local biasfields due to mis-set shims and remote susceptibility distributions (ie. the neck/chest). In this method, large deviations from the susceptibility atlas are penalized, discouraging the estimation of artifactual susceptibility eigenfunctions in regions near tissue-air boundaries where the Laplacian may not be sufficient to eliminate the contribution of non-local sources and substantial signal loss corrupts the observed field. Agreement of predicted and observed fields within the brain is also enforced, but deviations in estimated susceptibility values outside the brain are not penalized, allowing values at the boundary to vary from the atlas-based prior to account for unmodeled external field sources (ie. shims).

Results

alt text


alt text


alt text
alt text
alt text