File:Carma ex post seg.png

From NAMIC Wiki
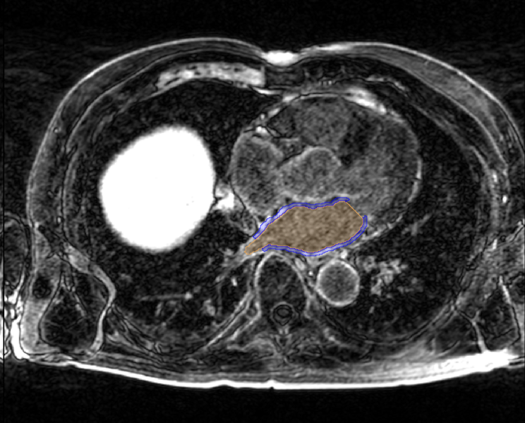
Revision as of 22:42, 6 January 2012 by Ggardner (talk | contribs) (Carma Center example post-ablation LGE-MRI image, with manual segmentations of the LA wall and blood pool overlaid)
(diff) ← Older revision | Latest revision (diff) | Newer revision → (diff)
Jump to: navigation, search

Original file(1,330 × 1,072 pixels, file size: 393 KB, MIME type: image/png)

Carma Center example post-ablation LGE-MRI image, with manual segmentations of the LA wall and blood pool overlaid

File history

Click on a date/time to view the file as it appeared at that time.

Date/TimeThumbnailDimensionsUserComment
current22:42, 6 January 2012Thumbnail for version as of 22:42, 6 January 20121,330 × 1,072 (393 KB)Ggardner (talk | contribs)Carma Center example post-ablation LGE-MRI image, with manual segmentations of the LA wall and blood pool overlaid
  • You cannot overwrite this file.

There are no pages that use this file.