File:Mr-results-sift.gif
From NAMIC Wiki
Mr-results-sift.gif (384 × 384 pixels, file size: 230 KB, MIME type: image/gif)
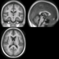
Similarity transform estimated from scale-invariant feature correspondences.
File history
Click on a date/time to view the file as it appeared at that time.
| Date/Time | Thumbnail | Dimensions | User | Comment | |
|---|---|---|---|---|---|
| current | 16:59, 21 June 2012 | 384 × 384 (230 KB) | Mt (talk | contribs) | Similarity transform estimated from scale-invariant feature correspondences. |
- You cannot overwrite this file.
File usage
The following page uses this file:
