2015 Summer Project Week:T1 mapping
From NAMIC Wiki
Revision as of 09:14, 24 June 2015 by Stevedaxiao (talk | contribs)
Home < 2015 Summer Project Week:T1 mapping
Key Investigators
- Xiao Da (MGH), Yangming Ou (MGH), Andriy Fedorov (BWH), Jayashree Kalpathy-Cramer (MGH)
- Utsav Pardasani (Observing)
Project Description
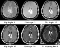
T1 mapping estimates effective tissue parameter maps (T1) from multi-spectral FLASH MRI scans with different flip angles. T1 mapping can be used to optimize parameters for a sequence, monitor diseased tissue, measure Ktrans in DCE-MRI and etc.
Objective
- Estimate effective T1 from multi-spectral FLASH MRI scans with different flip angles
- Implement T1 mapping algorithm as a Slicer extension using C++
Approach, Plan
- Start with prostate diffusion module
- Update equations for T1 mapping
- Compare the results using C++, Python, Freesurfer with ground truth of T1 for QIBA phantom
- Test the Slicer module on MGH Brain Tumor MR Data with multiple flip angles
Progress
- Equations have already been updated
- Working on the GUI
- Working on the comparison