File:FigHCPResult1.png

From NAMIC Wiki
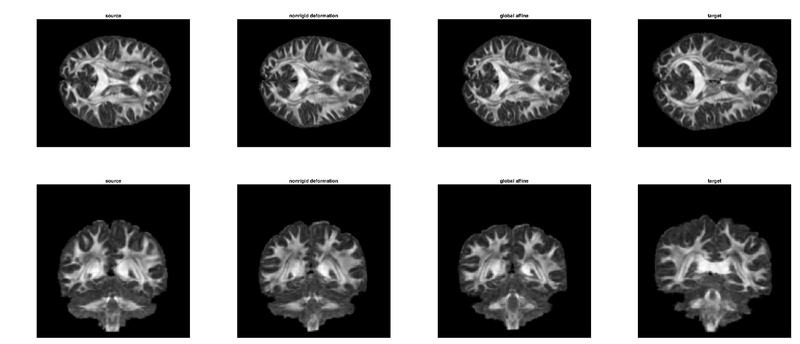
Revision as of 23:47, 8 January 2017 by Henrikgjensen (talk | contribs) (Nonrigid registration of two HCP 90-direction DWI volumes. Shown here from two slice views are the Generalised FA. From the left: (1) interpolated source, (2) nonrigid registration (compare with source), (3) affine registration. (4) interpolated target.)
(diff) ← Older revision | Latest revision (diff) | Newer revision → (diff)
Jump to: navigation, search

Original file(1,811 × 778 pixels, file size: 134 KB, MIME type: image/png)

Nonrigid registration of two HCP 90-direction DWI volumes. Shown here from two slice views are the Generalised FA. From the left: (1) interpolated source, (2) nonrigid registration (compare with source), (3) affine registration. (4) interpolated target.

File history

Click on a date/time to view the file as it appeared at that time.

Date/TimeThumbnailDimensionsUserComment
current23:47, 8 January 2017Thumbnail for version as of 23:47, 8 January 20171,811 × 778 (134 KB)Henrikgjensen (talk | contribs)Nonrigid registration of two HCP 90-direction DWI volumes. Shown here from two slice views are the Generalised FA. From the left: (1) interpolated source, (2) nonrigid registration (compare with source), (3) affine registration. (4) interpolated target.
  • You cannot overwrite this file.

The following page uses this file:

Metadata