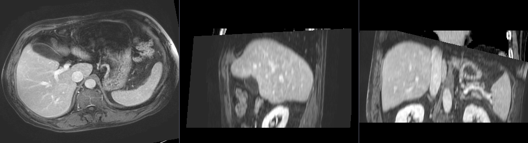
File:RegLib C12 Affine.gif
From NAMIC Wiki
Size of this preview: 800 × 218 pixels. Other resolutions: 320 × 87 pixels | 1,032 × 281 pixels.
Original file (1,032 × 281 pixels, file size: 357 KB, MIME type: image/gif)
File history
Click on a date/time to view the file as it appeared at that time.
| Date/Time | Thumbnail | Dimensions | User | Comment | |
|---|---|---|---|---|---|
| current | 16:57, 10 May 2012 | 1,032 × 281 (357 KB) | Meier (talk | contribs) | ||
| 19:06, 18 August 2011 | 800 × 186 (218 KB) | Meier (talk | contribs) |
- You cannot overwrite this file.
File usage
The following page uses this file: