NAC-Group:fBIRN-paper:Hallucination-Table

From NAMIC Wiki
Jump to: navigation, search
Home < NAC-Group:fBIRN-paper:PaperTable

Papers on Active Hallucination

Title (link goes to Pubmed) Author Year Activation
Activation of Heschl's gyrus
during auditory hallucinations
Dierks T, Linden DE,
Jandl M, Formisano E,
Goebel R, Lanfermann H,
Singer W
1999
Dierks-99-lateral.jpg
Spatial and temporal mapping of neural activity
associated with auditory hallucinations
Lennox BR, Park SB,
Jones PB, Morris PG
1999
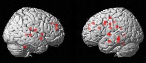
Lennox-1999.jpg
The functional anatomy of
auditory hallucinations in schizophrenia
Lennox BR, Park SB,
Medley I, Morris PG,
Jones PB
2000
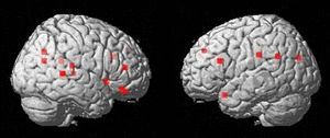
Lennox-2000-all.jpg
Mapping auditory hallucinations in
schizophrenia using fMRI
Shergill SS, Brammer MJ,
Williams SC, Murray RM,
McGuire PK
2000
Shergill-2000-buttonpress.jpg
Temporal course of auditory hallucinations Shergill SS, Brammer MJ,
Amaro E, Williams SC,
Murray RM, McGuire PK
2004
Shergill-2004-multicolor.jpg
The spatiotemporal pattern of auditory cortical
responses during verbal hallucinations
van de Ven VG, Formisano E,
Roder CH, Prvulovic D,
Bittner RA, Dietz MG,
Hubl D, Dierks T,
Federspiel A, Esposito F,
Di Salle F, Jansma B,
Goebel R, Linden DE
2005
VandeVen-2005 SMC-removed.jpg



New Hallucination Table

Back to Group page