Difference between revisions of "Projects:RegistrationLibrary:RegLib C04"

From NAMIC Wiki
Jump to: navigation, search
Line 68: Line 68:
 
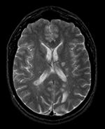
[[Image:RegLib_C04_PDreg_AnimGif.gif|500px|Registered followup data]]<br>
 
[[Image:RegLib_C04_PDreg_AnimGif.gif|500px|Registered followup data]]<br>
 
[[Image:RegLib_C04_3DLesionChange_AnimGif.gif|200px|Lesion change visualization in 3D]]
 
[[Image:RegLib_C04_3DLesionChange_AnimGif.gif|200px|Lesion change visualization in 3D]]
 +
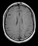
[[Image:RegLib_C04_PDSubtraction.png‎|200px|Lesion change via subtraction imaging of co-registered PD]]
  
 
=== Download ===
 
=== Download ===

Revision as of 22:16, 19 February 2010

Home < Projects:RegistrationLibrary:RegLib C04

Back to ARRA main page
Back to Registration main page
Back to Registration Use-case Inventory

Slicer Registration Library Case 04: Intra-subject Brain MR of Multiple Sclerosis: Multi-contrast series for lesion change assessment

this is the fixed reference image. All images are aligned into this space this is a passive image to which the calculated transform is applied. It is a label-map in the same space as the moving FLAIR image this is a passive image to which the calculated transform is applied. It is a label-map in the same space as the moving FLAIR image lleft this is the moving image. The transform is calculated by matching this to the reference image this is a passive image to which the calculated transform is applied. It is a label-map in the same space as the moving FLAIR image this is a passive image to which the calculated transform is applied. It is a label-map in the same space as the moving FLAIR image LEGEND

lleft this indicates the reference image that is fixed and does not move. All other images are aligned into this space and resolution
lleft this indicates the moving image that determines the registration transform.
lleft this indicates images that passively move into the reference space, i.e. they have the transform applied but do not contribute to the calculation of the transform.

lleft PD axial lleft T2 axial lleft T1-GdDTPA lleft PD axial lleft T2 axial lleft T1-GdDTPA
0.9375 x 0.9375 x 3 mm axial
256 x 256 x 51
RAS
0.9375 x 0.9375 x 3 mm axial
256 x 256 x 51
RAS
0.9375 x 0.9375 x 5 mm axial
256 x 256 x 24
RAS
0.9375 x 0.9375 x 3 mm axial
256 x 256 x 54
RAS
0.9375 x 0.9375 x 3 mm axial
256 x 256 x 54
RAS
0.9375 x 0.9375 x 5 mm axial
256 x 256 x 24
RAS

Objective / Background

This scenario occurs in many forms whenever we wish to assess change in a series of multi-contrast MRI. The follow-up scan(s) are to be aligned with the baseline, but also the different series within each exam need to be co-registered, since the subject may have moved between acquisitions. Hence we have a set of nested registrations. This particular exam features a dual echo scan (PD/T2), where the two structural scans are aligned by default. The post-contrast T1-GdDTPA scan however is not necessarily aligned with the dual echo. Also the post-contrast scan is taken with a clipped field of view (FOV) and a lower axial resolution, with 4mm slices and a 1mm gap (which we treat here as a de facto 5mm slice).

Keywords

MRI, brain, head, intra-subject, multiple sclerosis, MS, multi-contrast, change assessment, dual echo, nested registration

Input Data

  • Button red fixed white.jpgreference/fixed : PD baseline exam , 0.9375 x 0.9375 x 3 mm voxel size, axial acquisition, RAS orientation.
  • Button red fixed white.jpgreference/fixed : T2 baseline exam , 0.9375 x 0.9375 x 3 mm voxel size, axial acquisition, RAS orientation.
  • Button green moving white.jpg moving: T1-GdDTPA baseline exam 0.9375 x 0.9375 x 5 mm voxel size, axial acquisition.
  • Button green moving white.jpg moving: PD follow-up exam 0.9375 x 0.9375 x 3 mm voxel size, axial acquisition.
  • Button blue tag white.jpg tag: T2 follow-up exam 0.9375 x 0.9375 x 3 mm voxel size, axial acquisition.
  • Button green moving white.jpg moving:T1-GdDTPA follow-up exam0.9375 x 0.9375 x 5 mm voxel size, axial acquisition.

Registration Challenges

  • we have multiple nested transforms: each exam is co-registered within itself, and then the exams are aligned to eachother
  • potential pathology change can affect the registration
  • anisotropic voxel size causes difficulty in rotational alignment
  • clipped FOV and low tissue contrast of the post-contrast scan

Key Strategies

  • we first register the post-contrast scans within each exam to the PD
  • we also move the T2 exam within the same Xform
  • second we register the follow-up PD scan to the baseline PD
  • we then nest the first alignment within the second
  • we compare T1Gd to T1Gd, which went through 2 transforms. We correct residual misalignment with a 3rd correction transform
  • because of the contrast differences and anisotropic resolution we use Mutual Information as cost function for better robustness
  • we adjust the expected translation and rotational parameter settings to the visual assessment of the input data (i.e. initial misalignment)

Registration Results

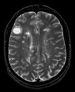
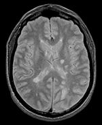
Unregistered baseline data: PD vs. T1Gd Unregistered followup data: PD exam 2 vs. exam 1
Registered baseline data Registered followup data
Lesion change visualization in 3D Lesion change via subtraction imaging of co-registered PD

Download

Link to User Guide: How to Load/Save Registration Parameter Presets