Difference between revisions of "Projects:RegistrationLibrary:RegLib C08"

From NAMIC Wiki
Jump to: navigation, search
Line 50: Line 50:
 
*'''[[Media:RegLib_C08_TutorialSet.zip‎‎|download full tutorial  set  <small> (Data+intermediate results+presets+tutorial, zip file ?? MB) </small>]]'''
 
*'''[[Media:RegLib_C08_TutorialSet.zip‎‎|download full tutorial  set  <small> (Data+intermediate results+presets+tutorial, zip file ?? MB) </small>]]'''
 
*'''[[Media:RegLib_C08_WholeBody_PET-CT.zip‎‎|download example data set  <small> (Data only, zip file 135 MB) </small>]]'''
 
*'''[[Media:RegLib_C08_WholeBody_PET-CT.zip‎‎|download example data set  <small> (Data only, zip file 135 MB) </small>]]'''
*'''[[Media:RRegLib_C08_Tutorial_PET-CTserial.ppt|download step-by-step tutorial  <small> (PowerPoint 2 MB) </small>]]'''
+
*'''[[Media:RegLib_C08_Tutorial_PET-CTserial.ppt|download step-by-step tutorial  <small> (PowerPoint 2 MB) </small>]]'''
*'''[[Media:RRegLib_C08_Tutorial_RegistrationPresets.zip|download registration parameter presets only <small> (zip file with MRML scene files ?? kB) </small>]]'''
+
*'''[[Media:RegLib_C08_Tutorial_RegistrationPresets.zip|download registration parameter presets only <small> (zip file with MRML scene files ?? kB) </small>]]'''
  
 
[[Projects:RegistrationDocumentation:ParameterPresetsTutorial|Link to User Guide: How to Load/Save Registration Parameter Presets]]
 
[[Projects:RegistrationDocumentation:ParameterPresetsTutorial|Link to User Guide: How to Load/Save Registration Parameter Presets]]

Revision as of 17:52, 19 March 2010

Home < Projects:RegistrationLibrary:RegLib C08

Back to ARRA main page
Back to Registration main page
Back to Registration Use-case Inventory

Slicer Registration Use Case Exampe #8: Intra-subject whole-body PET-CT

this is the fixed reference image. All images are aligned into this space this is also a fixed reference image. All images are aligned into this space lleft this is the moving image. The transform is calculated by matching this to the reference image this is a passivley (tag) image. The calculated transforms are applied to this image LEGEND

lleft this indicates the reference image that is fixed and does not move. All other images are aligned into this space and resolution
lleft this indicates the moving image that determines the registration transform.
lleft this indicates a passivley moving image.

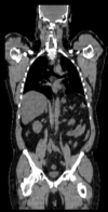
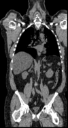
lleft whole body CT baseline lleft whole body PET baseline lleft whole body CT follow-up lleft whole body PET follow-up
CT: 512 x 512 x 267
0.97 x 0.97 x 3.27 mm
PET: 128 x 128 x 267
4.7 x 4.7 x 3.3 mm
CT: 512 x 512 x 195
0.98 x 0.98 x 5.0 mm
PET: 168 x 168 x 195
4.1 x 4.1 x 5 mm

Objective / Background

Change assessment.

Keywords

PET-CT, whole-body, change assessment

Input Data

  • Button red fixed white.jpgreference/fixed : baseline CT: 0.97 x 0.97 x 3.27 mm , PET: 4.7 x 4.7 x 3.3 mm
  • Button green moving white.jpg moving: CT: 0.98 x 0.98 x 5
  • Button blue tag white.jpg moving: PET: 4.1 x 4.1 x 5 mm

Registration Results

Download

Link to User Guide: How to Load/Save Registration Parameter Presets


Discussion: Registration Challenges

  • accuracy is the critical criterion here. We need the registration error (residual misalignment) to be smaller than the change we want to measure/detect. Agreement on what constitutes good alignment can therefore vary greatly.
  • the two series have different voxel sizes
  • because of the large FOV we have strong non-rigid deformations from differences in patient/limb positions etc.
  • images are large volumes (>100 MB total)
  • image content reaches border of image on two sides

Discussion: Key Strategies

  • the two images have identical contrast, hence we can consider "sharper" cost functions, such as NormCorr or MeanSqrd
  • the contrast differences between the PET and CT far exceed the longitudinal differences in either modality. Hence, if necessary we can take advantage by registering each series separately and then build a concatenated transform.
  • the two images are far apart initially, we will need some form of initialization. Manual alignment is a fast and effective approach for this.
  • because accuracy is more important than speed here, we increase the sampling rate from the default 2% to 15%. Note however the large image size, which makes comparable sampling % still large compared to other datasets.