Difference between revisions of "Project Week 25/SALT Spatiotemporal Modeling:"
From NAMIC Wiki
Jfishbaugh (talk | contribs) |
Jfishbaugh (talk | contribs) |
||
| Line 23: | Line 23: | ||
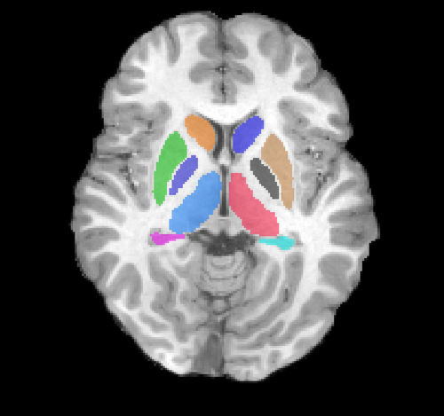
==Illustrations== | ==Illustrations== | ||
| − | + | {| | |
| − | [[File:Observations_in_time.gif|500px]] | + | |- |
| + | [[File:Observations_in_time.gif|500px]] || [[File:8yr_with_labels.png|500px]] | ||
| + | |} | ||
{| | {| | ||
Revision as of 10:53, 29 June 2017
Home < Project Week 25 < SALT Spatiotemporal Modeling:
Back to Projects List
Key Investigators
- James Fishbaugh (NYU Tandon School of Engineering, USA)
- Guido Gerig (NYU Tandon School of Engineering, USA)
Project Description
| Objective | Approach and Plan | Progress and Next Steps |
|---|---|---|
|
Slicer Shape AnaLysis Toolbox (SlicerSALT) is a standalone version of Slicer specifically for shape analysis, currently under development. One aspect of the project is the validation of the tools to be included in SlicerSALT. In this project, we will begin validating the shape regression component with a longitudinal database of subcortical structures. |
Illustrations
|| ![]() |
|
