Project Week 25/SALT Spatiotemporal Modeling:

From NAMIC Wiki
Jump to: navigation, search
Home < Project Week 25 < SALT Spatiotemporal Modeling:


Back to Projects List

Key Investigators

Project Description

Objective Approach and Plan Progress and Next Steps
  • Slicer Shape AnaLysis Toolbox (SlicerSALT) is a standalone version of Slicer specifically for shape analysis, currently under development. One aspect of the project is the validation of the tools to be included in SlicerSALT. In this project, we will begin validating the shape regression component with a longitudinal database of subcortical structures.
  • The longitudinal infant data has been collected as part of the NIH funded UNC Psychiatry CONTE project to study early brain development in infants at risk for mental illness (PI John H. Gilmore), Distinguished Professor, Director of the Early Brain Development Program, UNC Chapel Hill, Department of Psychiatry).
  • Longitudinal dataset consists of 553 subjects with a total of 1530 scans. MR images are acquired at clustered ages of 1, 2, 4, 6, 8, and 10 years of age. Subjects commonly have missing data points, though many subjects have 3 or more more scans.
  • We focus this week on getting the data organized, setting up the processing pipeline, as well as estimating a model for a single subject. We would also like to identify Slicer tools that are helpful for our analysis, to be considered for inclusion in Slicer SALT.
  • Subcortical structures were segmented from infant MRI by the UNC Chapel Hill Psychiatry NIRAL group of Martin Styner. Procedures included multi-atlas segmentation developed by NIRAL in collaboration with partner groups.
  • We found that subject data is not aligned across time; the observations do not share a common coordinate system. For a given set of images, we used Slicer to place a fiducial in each image space. We then used a linear transform to manually move one fiducial onto the other, using the 3D view as a visual guide. The linear transform was used as an initialization for rigid registration (BRAINS) in Slicer, to compute the final rigid transformation between images. We use the image when the child is oldest as the fixed image, and register the rest of the time-series to this reference.
  • Subcortical structures are extracted via marching cubes, found in the MIRTK package.
  • Shapes are decimated and smoothed using Meshlab.
  • A spatiotemporal model was estimated for a single subject with 5 observations using shape4d.
  • Andras mentioned the sequences module can provide similar functionality to Paraview, which is something to keep in mind for including in Slicer SALT.

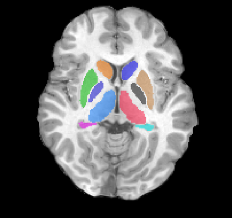
Illustrations

Left: Acquisitions of a single subject with observations at 1, 2, 4, 6, and 8 years old. Right: Sub-cortical structures are segmented for each time point.

Observations in time.gif 8yr with labels.png


Continuous spatiotemporal model of all subcortical structures from 0 to 8 years of age. Color denotes speed in mm/year, with vectors showing direction of growth. Two views of the same growth trajectory is shown below, from the side and from the front.

anim_glyphs_side_small.gif anim_glyphs_front_small.gif

Background and References

[1] Fishbaugh, J., Durrleman, S., Prastawa, M., Gerig, G. Geodesic shape regression with multiple geometries and sparse parameters. Medical Image Analysis. Vol 39. pp. 1-17. (2017)

[2] Fishbaugh, J., Durrleman, S., Gerig, G. Estimation of smooth growth trajectories with controlled acceleration from time series shape data. Proc. of Medical Image Computing and Computer Assisted Intervention (MICCAI '11). Vol 6892, pp. 401-408. (2011)