Difference between revisions of "2010 Summer Project Week RegistrationEvaluation"

From NAMIC Wiki
Jump to: navigation, search
Line 46: Line 46:
  
 
<h3>Progress</h3>
 
<h3>Progress</h3>
 +
 +
[[Image:b0_unreg.gif|thumb|500px|Unregistered.]]
  
 
</div>
 
</div>
  
 
</div>
 
</div>

Revision as of 17:59, 24 June 2010

Home < 2010 Summer Project Week RegistrationEvaluation

Key Investigators

  • University of Utah: James Fishbaugh, Guido Gerig
  • BWH: Dominik Meier

Objective

Recently, effort has been made in improving registration in Slicer. This includes the development and improvement of the RegisterImages module along with corresponding documentation from the use case library . The work on RegisterImages aimed at making registration easier, faster, and more accurate, while the use case library acts as a starting point and tutorial for users with a particular type of registration problem.

In order to continue improving registration, we propose a project to evaluate the current state of non-linear registration in Slicer. The results from this study will likely highlight areas of both strength and weakness in registration currently available in Slicer.

Approach, Plan

We propose evaluating registration in Slicer by focusing on three experiments:

Experiment 1: Synthetic Example

This experiment consists of registration between a baseline MRI and one with a synthetic tumor inserted via TumorSim. Furthermore, we will deform the baseline image with a known deformation field. We can evaluate both the transformed image for accuracy as well as the deformation field computed during registration. An interesting extension is to investigate how the size of the tumor or strength of the deformation affects registration accuracy.

Experiment 2: Co-registration of Subject Specific Multi-modal MRI and DTI

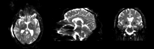
This experiment consists of multi-modal MRI as well as DTI data from an individual with a severe head injury. We have 5 different modalities of structural MRI: axial TSE, axial GRE bleed, axial FLAIR, MP RAGE post-contrast, and SWI. We also have DTI data consisting of 20 directions. We would like to register the DTI data with the co-registered sMRI in order to view fiber tracts relative to the anatomy and pathology.

This is useful experiment because the considerable contrast differences between the 5 modalities of structural MRI, as well as the different grid and pixel dimensions, provide an interesting multi-modal registration task. Furthermore, the non-linear nature of aligning DTI and sMRI presents a challenging registration experiment.

Experiment 3: Registration of Atrial Fibrillation Pre and Post Treatment

For this experiment, we are interested in registering structural MRI of the chest before and after ablation surgery. During the ablation procedure, a catheter is inserted to burn heart tissue in the atria demonstrating abnormal electrical activity. The ablation creates scar tissue, which does not conduct electricity, allowing the heart to return to a normal beating pattern. As a result of the procedure, the atrial wall shows a vastly different contrast than the scan taken before surgery. In addition, there are geometric differences between structures present in the two images. For these reasons, this is a challenging non-linear registration problem.

Progress

Unregistered.