Difference between revisions of "Projects:RegistrationLibrary:RegLib C05"

From NAMIC Wiki
Jump to: navigation, search
Line 17: Line 17:
  
 
=== Modules ===
 
=== Modules ===
*'''Slicer 3.6.1 recommended modules:  [http://www.slicer.org/slicerWiki/index.php/Modules:BRAINSFit BrainsFit], [http://www.slicer.org/slicerWiki/index.php/Modules:RegisterImagesMultiRes-Documentation-3.6 Robust Multiresolution Affine]'''
+
*'''Slicer 3.6.1 recommended modules:  [http://www.slicer.org/slicerWiki/index.php/Modules:PythonSurfaceICPRegistration-Documentation-3.6 Surface Registration]
  
 
===Objective / Background ===
 
===Objective / Background ===

Revision as of 12:51, 22 September 2010

Home < Projects:RegistrationLibrary:RegLib C05

Back to ARRA main page
Back to Registration main page
Back to Registration Use-case Inventory


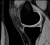
v3.6.1 Slicer3-6Announcement-v1.png Slicer Registration Library Case 05:
Inter-subject Knee MRI

Input

this is the main fixed reference image. All images are ev. aligned into this space lleft this is the moving image
subject 1 subject 1

Modules

Objective / Background

The final goal is to align a segmentation prior model/atlas to aid in cartilage segmentation.

Keywords

MRI, knee, inter-subject, segmentation

Input Data

  • fixed: T1 SPGR , 0.9375 x 0.9375 x 1.4 mm voxel size, axial. + surface model from femur & tibia segmentation.
  • moving: T1 SPGR , 0.9375 x 0.9375 x 1.2 mm voxel size, sagittal. + surface model from femur & tibia segmentation.

Procedure / Pipeline

  1. Open case scene file or import image data + surface models
  2. Open Registration / Surface Registration module
    1. Input Surface: S02_femur
    2. Target Surface: S01_femur
    3. Output Transform: create new transform, rename to "Xf1_surf_S2-S1"
    4. Select/check Mean distance mode: RMS
    5. Leave defaults: iterations: 50, landmarks: 200
    6. Select/check Start by matching centroids
    7. Select/check Check mean distance
    8. Click: Apply; process duration: ~ seconds
  3. Go to the Data module
    1. find the newly created transform node "Xf1_surf_S2-S1" and drag the "S02_femur" model node (and all other S02 entities) inside the transform.
    2. for the 3D viewer turn on the visibility of the surface models (should be on already)
    3. the surfaces for the two femur models should now align in basic position and orientation
  4. for additional details see tutorial downloads below

Registration Results

femur surface models before/after registration

Download

Acknowledgments