File:53-t2 Bspline.png

From NAMIC Wiki
Revision as of 15:07, 21 April 2009 by Rauscha (talk | contribs) (Registration of a t2w image to arbitrary t1 and back via BSpline Registration module.)
(diff) ← Older revision | Latest revision (diff) | Newer revision → (diff)
Jump to: navigation, search

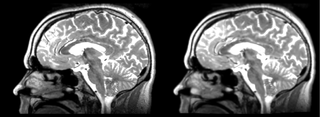
Original file(1,162 × 426 pixels, file size: 323 KB, MIME type: image/png)

Registration of a t2w image to arbitrary t1 and back via BSpline Registration module.

File history

Click on a date/time to view the file as it appeared at that time.

Date/TimeThumbnailDimensionsUserComment
current15:07, 21 April 2009Thumbnail for version as of 15:07, 21 April 20091,162 × 426 (323 KB)Rauscha (talk | contribs)Registration of a t2w image to arbitrary t1 and back via BSpline Registration module.
  • You cannot overwrite this file.

The following page uses this file: