File:Basline-demons-t2.png

From NAMIC Wiki
Revision as of 13:37, 22 April 2009 by Rauscha (talk | contribs) (Registration of a DTI baseline image to corresponding realigned t2 image via the Diffeomorphic Demons module.)
(diff) ← Older revision | Latest revision (diff) | Newer revision → (diff)
Jump to: navigation, search

Original file(1,162 × 426 pixels, file size: 306 KB, MIME type: image/png)

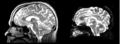
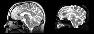
Registration of a DTI baseline image to corresponding realigned t2 image via the Diffeomorphic Demons module.

File history

Click on a date/time to view the file as it appeared at that time.

Date/TimeThumbnailDimensionsUserComment
current13:37, 22 April 2009Thumbnail for version as of 13:37, 22 April 20091,162 × 426 (306 KB)Rauscha (talk | contribs)Registration of a DTI baseline image to corresponding realigned t2 image via the Diffeomorphic Demons module.
  • You cannot overwrite this file.

The following page uses this file: