File:53-31 RI affine.png

From NAMIC Wiki
Revision as of 20:37, 22 April 2009 by Rauscha (talk | contribs) (Registration of two different subjects t2 images via the affine selection in the Register Images module.)
(diff) ← Older revision | Latest revision (diff) | Newer revision → (diff)
Jump to: navigation, search

Original file(2,100 × 427 pixels, file size: 504 KB, MIME type: image/png)

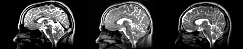
Registration of two different subjects t2 images via the affine selection in the Register Images module.

File history

Click on a date/time to view the file as it appeared at that time.

Date/TimeThumbnailDimensionsUserComment
current20:37, 22 April 2009Thumbnail for version as of 20:37, 22 April 20092,100 × 427 (504 KB)Rauscha (talk | contribs)Registration of two different subjects t2 images via the affine selection in the Register Images module.
  • You cannot overwrite this file.

The following page uses this file: