File:T2-base masked bspline.png

From NAMIC Wiki
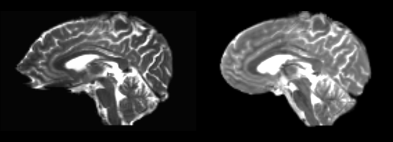
Revision as of 18:14, 13 May 2009 by Rauscha (talk | contribs) (Structural image registered to corresponding DTI baseline via bspline registration module.)
(diff) ← Older revision | Latest revision (diff) | Newer revision → (diff)
Jump to: navigation, search

Original file(1,160 × 420 pixels, file size: 189 KB, MIME type: image/png)

Structural image registered to corresponding DTI baseline via bspline registration module.

File history

Click on a date/time to view the file as it appeared at that time.

Date/TimeThumbnailDimensionsUserComment
current18:14, 13 May 2009Thumbnail for version as of 18:14, 13 May 20091,160 × 420 (189 KB)Rauscha (talk | contribs)Structural image registered to corresponding DTI baseline via bspline registration module.
  • You cannot overwrite this file.

The following page uses this file: