File:SegmentationAfterDilation.png
From NAMIC Wiki
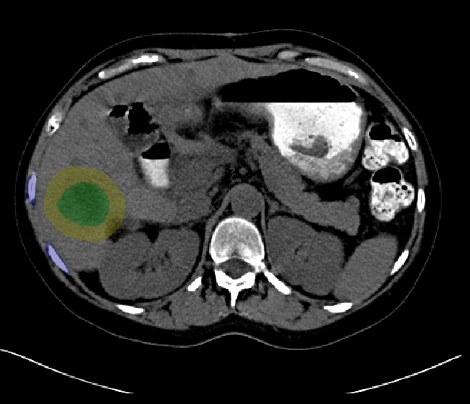
SegmentationAfterDilation.png (660 × 568 pixels, file size: 161 KB, MIME type: image/png)
Liver RFA, segmentation after tumor has been dilated to include ablation margin.
File history
Click on a date/time to view the file as it appeared at that time.
| Date/Time | Thumbnail | Dimensions | User | Comment | |
|---|---|---|---|---|---|
| current | 16:38, 11 June 2009 | 660 × 568 (161 KB) | ZivYaniv (talk | contribs) | Liver RFA, segmentation after tumor has been dilated to include ablation margin. |
- You cannot overwrite this file.
File usage
The following page uses this file:
