Projects:RegistrationLibrary:RegLib C06
From NAMIC Wiki
Revision as of 20:56, 26 February 2010 by Meier (talk | contribs) (moved Projects:RegistrationDocumentation:RegLib 06 BreastMRII to Projects:RegistrationDocumentation:RegLib 06 BreastMRI: title page name typo)
Home < Projects:RegistrationLibrary:RegLib C06
Back to ARRA main page
Back to Registration main page
Back to Registration Use-case Inventory
Contents
Slicer Registration Use Case Exampe #6: Breast MRI Treatment Assessment
Objective / Background
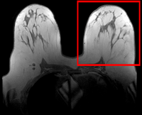
We seek to align the post-treatment (PostRx) scan with the pre-treatment scan to compare local effects (left side only).
Keywords
MRI, breast cancer, intra-subject, treatment assessment, change detection, non-rigid registration
Input Data
reference/fixed : T1 SPGR , 0.9375 x 0.9375 x 1.4 mm voxel size, axial, RAS orientation.
moving: T1 SPGR , 0.9375 x 0.9375 x 1.2 mm voxel size, sagittal, RAS orientation.
Methods
- Extract left breast image of PreRx scan (ExtractSubvolumeROI module)
- Extract right breast image of PreRx scan (ExtractSubvolumeROI module)
- run MRI Bias field inhomogeneity correction on PreRx scan (MRI Bias Field Correction module)
- run affine registration (RegisterImages Multires module)
- Fixed Image: PreRx_left_BiasCorr
- Moving Image: PostRx_left
- Resample Image: none
- Output transform: Create new linear transform, rename to: Xform_Aff0_MRes
- Fixed Image Mask: none
- Step Size (voxels):5
- Evaluate quality of Affine registration: drag PostRx_left inside the abovecreated Xform node (Data module)
- run Bspline non-rigid registration (Deformable BSpline registration module)
- Iterations: 50
- Grid Size: 5
- Histogram Bins: 100
- Spatial Samples: 80000
- Constrain Deformation: no
- Initial Transform: XForm_Aff0_MRes
- Fixed Image: PreRx_left_BiasCorr
- Moving Image: PostRx_left
- Output Transform: Create New BSpline Transform, rename to: Xform_BSpline1_Aff0Init
- Output Volume: Create New Volume, rename to: PostRx_left_BSpline1
- Apply.
Registration Results
Download
- download entire package (Data,Presets, Solution, zip file 85 MB)
- download registration parameter presets file (.mrml file 20 kB)
- download guided tutorial (PowerPoint, 2.6 MB)
Link to User Guide: How to Load/Save Registration Parameter Presets
Discussion: Registration Challenges
- soft tissue deformations during image acquisition cause large differences in appearance
- contrast enhancement and pathology and treatment changes cause additional differences in image content
- the surface coils used cause strong differences in intensity inhomogeneity.
- we have strongly anisotropic voxel sizes with much less through-plane resolution
- resolution and FOV change between the two scans
Discussion: Key Strategies
- because of the strong changes in shape and position, we break the problem down and register each breast separately.
- we perform a bias-field correction on both images before registration
- we use the Multires version of RegisterImages for an initial affine alignment
- the nonlinear portion is then addressed with a BSpline or DiffeomorphicDemons algorithm
- because accuracy is more important than speed here, we increase the sampling rate (i.e. the number of points sampled for the BSpline registration)