Projects:RegistrationLibrary:RegLib C05

From NAMIC Wiki
Jump to: navigation, search
Home < Projects:RegistrationLibrary:RegLib C05

Back to ARRA main page
Back to Registration main page
Back to Registration Use-case Inventory

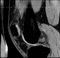
Slicer Registration Use Case Exampe #5: Inter-subject Knee MRI

this is the fixed reference image. All images are aligned into this space lleft this is the moving image. The transform is calculated by matching this to the reference image LEGEND

lleft this indicates the reference image that is fixed and does not move. All other images are aligned into this space and resolution
lleft this indicates the moving image that determines the registration transform.

lleft T1 SPGR lleft T1 SPGR
0.9375 x 0.9375 x 1.4 mm
256 x 256 x 112
RAS
0.9375 x 0.9375 x 1.2 mm
256 x 256 x 130
RAS

Objective / Background

The final goal is to align a segmentation prior model to aid in cartilage segmentation.

Keywords

MRI, knee, inter-subject, segmentation

Input Data

  • Button red fixed white.jpgreference/fixed : T1 SPGR , 0.9375 x 0.9375 x 1.4 mm voxel size, axial, RAS orientation.
  • Button green moving white.jpg moving: T1 SPGR , 0.9375 x 0.9375 x 1.2 mm voxel size, sagittal, RAS orientation.

Registration Results

Download

Link to User Guide: How to Load/Save Registration Parameter Presets


Discussion: Registration Challenges

  • accuracy is the critical criterion here. We need the registration error (residual misalignment) to be smaller than the change we want to measure/detect. Agreement on what constitutes good alignment can therefore vary greatly.
  • the two images have strong differences in coil inhomogeneity. This affects less the registration quality but hampers evaluation. Most of the difference does not become apparent until after registration in direct juxtaposition. Bias field correction beforehand is recommended.
  • we have slightly different voxel sizes
  • if the pathology change is substantial it might affect the registration.

Discussion: Key Strategies

  • the two images have identical contrast, hence we consider "sharper" cost functions, such as NormCorr or MeanSqrd
  • we have aliasing at the image margins that should be masked out
  • the two images are not too far apart initially
  • the bone appears largely as signal void, making it hard to distinguish from background
  • because accuracy is more important than speed here, we increase the sampling rate from the default 2% to 15%.
  • we also expect minimal differences in scale & distortion: so we can either set the expected values to 0 or run a rigid registration
  • we test the result in areas with good anatomical detail and contrast, far away from the pathology. With rigid body motion a local measure of registration accuracy is representative and can give us a valid limit of detectable change.