File:ManSeg2.png

From NAMIC Wiki
Revision as of 13:56, 27 June 2014 by Dmwelch (talk | contribs) (Manual segmentation QA module screenshot)
(diff) ← Older revision | Latest revision (diff) | Newer revision → (diff)
Jump to: navigation, search

Original file(1,920 × 1,200 pixels, file size: 566 KB, MIME type: image/png)

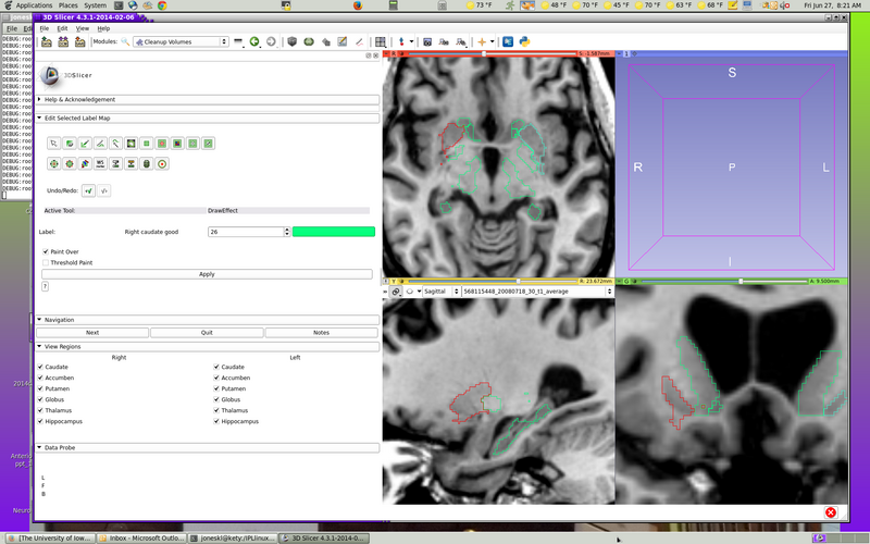
Manual segmentation QA module screenshot

File history

Click on a date/time to view the file as it appeared at that time.

Date/TimeThumbnailDimensionsUserComment
current13:56, 27 June 2014Thumbnail for version as of 13:56, 27 June 20141,920 × 1,200 (566 KB)Dmwelch (talk | contribs)Manual segmentation QA module screenshot
  • You cannot overwrite this file.

The following page uses this file: