2009 Summer Project Week Adaptive RT

From NAMIC Wiki
Jump to: navigation, search
Home < 2009 Summer Project Week Adaptive RT



Return to Projects List
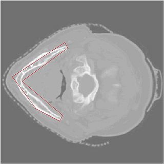
Initial Curve
Final Segmentation


Key Investigators

  • GaTech: Ivan Kolesov, Vandana Mohan, and Allen Tannenbaum
  • MGH: Gregory Sharp

Objective

We are developing strategies to perform segmentation of a number of structures in the Head, Neck, and Thorax. Once segmentation is available, the goal is to register patient scans to account for anatomical changes between visits.




Approach, Plan

  • Get an accurate segmentation before beginning work on registration
  • First structure of interest is the mandible, by the end of the project week, obtain its segmentation
  • Come up with a strategy for segmenting the brain stem
  • Create an outline for further progress after the project week


Progress

  • Segmentation results are shown above.
  • We have three potential approaches to segmenting the brain stem to experiment with.
  • Created a complete data set for one patient including label maps for structures of interest.