2009 Summer Project Week Lupus Lesion Segmentation

From NAMIC Wiki
Jump to: navigation, search
Home < 2009 Summer Project Week Lupus Lesion Segmentation

Key Investigators

  • MRN: H. Jeremy Bockholt, Mark Scully
  • Isomics: Steve Pieper

Objective

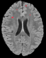
To create an end-to-end Lupus lesion segmentation and analysis pipeline that can work in both an automated and semi-supervised fashion.

See our Roadmap for more details.

Approach, Plan

Our approach involves the combination of morphometric features with a non-linear classifier in order to capture more of the gestalt properties a human rater uses when segmenting Lupus lesions.

Our plan for the project week is to:

  • Work with Steve Pieper to implement the wizard interface to the lesion analysis module to make the segmentation process easier.
  • Refactor the lesion analysis code and integrate it with the Slicer code repository so it is built with Slicer.
  • Meet with the white matter lesion segmentation group to discuss overlap.

Progress

  • Charted the logic of the wizard interface and created a development plan with Steve Pieper.
  • Made the lesion segmentation module available as a downloadable extension. This obviates the need to add the source code to the Slicer repository.
  • Met with the white matter lesion segmentation project group from UNC / GE to exchange data and discuss methods.
  • Updated tutorial reflecting feedback from dissemination core.
  • Improved testing coverage of lesion segmentation tools.