2009 Summer Project Week Skull Stripping

From NAMIC Wiki
Jump to: navigation, search
Home < 2009 Summer Project Week Skull Stripping


Key Investigators

  • JHU: Snehashis Roy
  • GE : Xiaodong Tao
  • BWH: Nicole Aucoin

Objective

We will discuss the possibility of combining the skull stripping algorithm developed at JHU (a joint registration and segmentation approach) and the one developed at GE (a deformable surface model) into a single skull stripping algorithm to be included in NA-MIC kit.

Approach, Plan

To understand each approach and discuss the best way to combine these efforts. Develop a plan for implementation as a Slicer module.

Progress

The deformable surface-based approach is similar to the Brain Extraction Tool (BET). The algorithm has been tested on 300+ T1 weighted images from OASIS database and shows a DICE score of 0.94 with the brain masks provided in the OASIS database. This algorithm may be modified to work on images with other contrast mechanisms. The joint registration and segmentation algorithm also works on T1 weighted images, and has been tested on several hundred images with good accuracy.

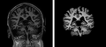
  • Update #1: We have successfully compiled the skull stripping algorithm, Simple Paradigm for Extra-Cranial Tissue Removal (SPECTRE) as a Slicer3.4 plugin. The following images show an OASIS brain skull-stripped with the plugin. The method requires a registration. The Affine Registration module of Slicer3.4 does not provide the desired result. Therefore, we will include Deformable BSpline registration and provide a plugin.

OASIS brain with skull

Skull.png

OASIS brain skull-stripped

Ss volume.png

References

  • Aaron Carass, M. Bryan Wheeler, Jennifer Cuzzocreo, Pierre-Louis Bazin, Susan S. Bassett and Jerry L. Prince, A JOINT REGISTRATION AND SEGMENTATION APPROACH TO SKULL STRIPPING, ISBI 2007.