2009 Winter Project Week MRSI

From NAMIC Wiki
Jump to: navigation, search
Home < 2009 Winter Project Week MRSI
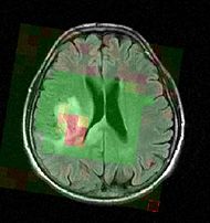
Color-coded MRSI in the localization and grading of brain tumors.
Fitting metabolite models to the MRS signal of tumorous brain tissue. Top: Original FID signal and estimated baseline. Bottom: Estimated resonance lines for three relevant metabolites.


Key Investigators

  • BWH SPL / MIT CSAIL: Bjoern Menze


Objective

Magnetic resonance spectroscopic imaging (MRSI) is a non-invasive diagnostic method used to determine the relative abundance of specific metabolites at arbitrary locations in vivo. Certain diseases - such as tumors in brain, breast and prostate - can be can be associated with characteristic changes in the metabolic level. Thus, proton MRSI is in principle very well suited for the detection, localization and grading of these diseases. A major challenge in MRSI, however, lies in the post-processing and evaluation of the acquired spectral volumes.

The objective of the current project is to develop a module proving the means for the processing and visualization of MRSI -- and thus for a joint analysis of magnetic resonance spectroscopic images together with other imaging modalities -- in Slicer.

Approach, Plan

Spectral fitting routines have been implemented, using a HSVD filter for water peak removal and baseline estimation, and a constrained non-linear least squares optimization for the fit of the resonance line models.

The plan for the project week is to integrate these routines - for data in/out, global registration, and visualization of the metabolite maps - into Slicer using the Slicer-Python interface.

Progress

Designed a basic visualization/interaction of spectra and fitting result using the Python interface.