2011 Summer Project Week BRAINSFit new features integration

From NAMIC Wiki
Jump to: navigation, search
Home < 2011 Summer Project Week BRAINSFit new features integration

Full Title of Project

Key Investigators

  • BWH: Andrey Fedorov
  • U.Iowa: Hans Johnson, Mark Scully


Objective

  • Discuss and integrate some new features into BRAINSFit registration module
  • Review http://review.source.kitware.com/#change,1856
    • determine how this effort overlaps with ITKv4 BSpline work by Nick Tustison
    • determine how meta-information will be stored to properly interpret the transform files

Approach, Plan

  • Several registration optimizations have been implemented in a specialized module derived from BRAINSFit, which turned out to be very useful in certain registration scenarios:
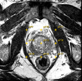
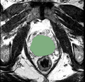
    • registration initialization using centers of gravity of the mask ROIs
    • initialization of the B-spline control point grid to span the bounding box of the ROI instead of the whole image ROI
  • We plan to discuss the integration of these features into the mainstream BRAINSFit distribution with the core BRAINSFit developers, and work on the actual integration and development of automated tests for these new features


Progress

  • CenterOfROI initializer: patch has been submitted to Hans for integration with BRAINSFit. Andrey will supply the test for this functionality. This feature will be available both in Slicer3 and Slicer4 in the standard BRAINSFit module.
  • ROI-based initialization of the B-spline grid: discussed implementation of this feature. ITKv4 will have improved support for B-spline transforms, which will include initialization of the grid over ROI. The ITKv4 registration module is expected to be finalized within 1-2 months, and at that point we can start working on integrating BRAINSFit with ITKv4, and integrating this feature with the new BRAINSFit. We expect this feature to be available in Slicer4+ITK4. Slicer3 users can access this feature in Slicer3 BRAINSFitIGT module when compiled from source (enable BRAINSFitIGT module while compiling Slicer3), or can achieve effectively the same result by cropping the ROI before registration.

Delivery Mechanism

This work will be delivered to the NAMIC Kit as a

  • Slicer command line module