2012 Winter Project Week:TBIClinicalAnalysis

From NAMIC Wiki
Jump to: navigation, search
Home < 2012 Winter Project Week:TBIClinicalAnalysis


Key Investigators

  • Utah: Bo Wang, Marcel Prastawa, and Guido Gerig
  • UCLA: Andrei Irimia, Micah Chambers, Jack Van Horn and Paul M. Vespa
  • Kitware: Danielle Pace, Stephen Aylward

Objective

  • Process more data to test current algorithm
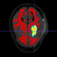
  • Segment longitudinal brain MR images with TBI using personalized atlas construction.
  • Refine the appearance and atlas construction scheme.

Approach, Plan

Our plan for the project week:

  • Get more data from our collaborators to test the current algorithm
  • Discuss with collaborators and know more about lesions, tissue compression, necrosis.


Progress

  • We got two new subjects from UCLA DBP. We processed the data and tested the current algorithm.
  • Talked to our collaborators and learn the knowledge of pathology such as different lesions, necrosis and tissue compression.
  • Discussed the possible metrics we could provide to quantitatively analyze the tissue/lesion changes.


References

  • Bo Wang, Marcel Prastawa, Andrei Irimia, Micah C. Chambers, Paul M. Vespa, John D. van Horn, Guido Gerig, A Patient-Specific Segmentation Framework for Longitudinal MR Images of Traumatic Brain Injury, SPIE Medical Imaging 2012.
  • Andrei Irimia, Micah C. Chambers, Jeffry R. Alger, Maria Filippou, Marcel W. Prastawa, Bo Wang, David A. Hovda, Guido Gerig, Arthur W. Toga, Ron Kikinis, Paul M. Vespa, John D. van Horn (2011) Comparison of acute and chronic traumatic brain injury using semi-automatic multimodal segmentation of MR volumes. Journal of Neurotrauma