BRAINSCut
From NAMIC Wiki
Home < BRAINSCut
Back to NA-MIC Brains Collaboration
Summary
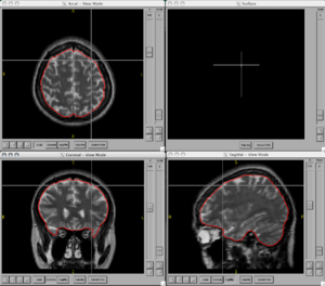
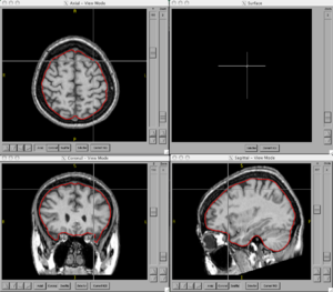
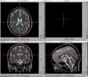
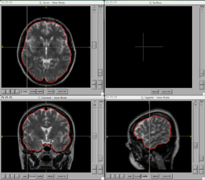
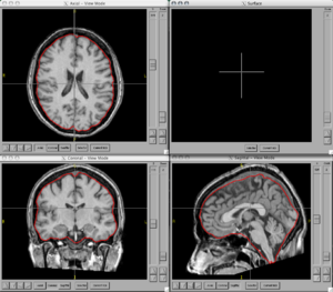
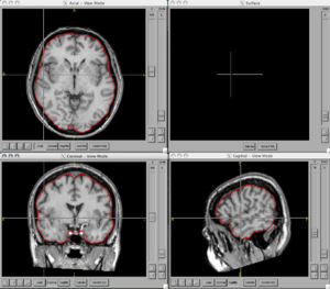
BRAINSCut is a software package for segmentation of structures using artificial neural networks. Currently this tool supports the segmentation of the following structures: brain, caudate, putamen, thalamus, hippocampus, anterior cerebellum, interior posterior cerebellum, superior posterior cerebellum, corpus medullary. Future regions will include the globus pallidus, amygdala, and nucleus accumbens. The command line uses the Slicer3 execution model framework.
Progress
- Integration with a high dimensional registration to the atlas probability map
- Improved thresholding of the output activation maps
- Code added to NITRC
- Coupled Neural network with MUSH Brain to generate a brain mask without requiring tissue classification
To Do
- Complete integration with the FANN library
- Link to a BSD style neural network library
- Look at the ability to use for segmentation of cortical regions
Key Investigators
- University of Iowa: Hans Johnson, Ronald Pierson, Kent Williams, Greg Harris, Vincent Magnotta
Figures
- BRAINSCut
Usage
BRAINSCut [--processinformationaddress <std::string>] [--xml] [--echo]
[--applyModel] [--trainModel] [--createVectors]
[--generateProbability] [--trainModelStartIndex <int>]
[--netConfiguration <std::string>] [--] [--version] [-h]
Description: Automatic Segmentation using neural networks
Author(s): Vince Magnotta, Hans Johnson, Greg Harris, Kent Williams
Where:
--processinformationaddress <std::string>
Address of a structure to store process information (progress, abort,
etc.). (default: 0)
--xml
Produce xml description of command line arguments (default: 0)
--echo
Echo the command line arguments (default: 0)
--applyModel
apply the neural net (default: 0)
--trainModel
train the neural net (default: 0)
--createVectors
create vectors for training neural net (default: 0)
--generateProbability
Generate probability map (default: 0)
--trainModelStartIndex <int>
Starting iteration for training (default: 0)
--netConfiguration <std::string>
XML File defining AutoSegmentation parameters
--, --ignore_rest
Ignores the rest of the labeled arguments following this flag.
--version
Displays version information and exits.
-h, --help
Displays usage information and exits.
Links
Papers
- Powell S, Magnotta VA, Johnson H, Jammalamadaka VK, Pierson R, Andreasen NC. Registration and machine learning-based automated segmentation of subcortical and cerebellar brain structures. Neuroimage. 39(1):238-47, 2008.
- Magnotta VA, Heckel D, Andreasen NC, Cizadlo T, Corson PW, Ehrhardt JC, Yuh WT. Measurement of brain structures with artificial neural networks: two- and three-dimensional applications. Radiology. 211(3):781-90, 1999.