BRAINSFit prostate registration

From NAMIC Wiki
Jump to: navigation, search
Home < BRAINSFit prostate registration

Goal

We are developing registration module in Slicer version 4 (which is using ITKv4) for deformable registration of prostate MRI using BRAINSFit This Slicer4/ITKv4 registration tool should be functional, accurate and fast (i.e., comparable with the functionality we had in Slicer3/ITKv3, which has been evaluated previously [1]). We worked on implementing BRAINSFit registration in SimpleITK but due to several issues (see here) we are considering a C++ implementation that uses ITKv3 libraries and can be integrated in the latest Slicer versions.

Details on the registration approach

Registration is applied to align preprocedural and intraoperational MR T2 image volumes. We are using masks the prostate for both image data sets. Registration is done using MMI metric with rigid, affine and B-spline stages applied in sequence. In Slicer3/BRAINSFit we use gradient descent for rigid/affine, and LBFGS for B-spline.

Parameters we are using to call BRAINSFit in Slicer 3.6 and Slicer 4.4

Parameter Slicer 3.6 Slicer 4.4
--fixedVolume dir dir
--movingVolume dir dir
--outputVolume dir dir
--bsplineTransform dir dir
--movingBinaryVolume dir dir
--fixedBinaryVolume dir dir
--useCenterOfROIAlign True   not an option
--initializeTransformMode   not an option useCenterOfROIAlign
--samplingPercentage   not an option 0.002
--useRigid True True
--useAffine True  True
--useROIBSpline True  True
--useScaleVersor3D True  True
--useScaleSkewVersor3D True True
--useBSpline   not an option True
--splineGridSize 3,3,3  3,3,3
--numberOfIterations 1500  1500
--maskProcessing ROI  ROI
--outputVolumePixelType float  float
--backgroundFillValue 0  0
--maskInferiorCutOffFromCenter 1000  1000
--interpolationMode Linear  Linear
--minimumStepSize 0.005   not an option
--minimumStepLength   not an option 0.005
--translationScale 1000 1000
--reproportionScale 1 1
--skewScale 1 1
--numberOfHistogramBins 50 50
--numberOfMatchPoints 10 10
--numberOfSamples 100000   not an option
--fixedVolumeTimeIndex 0 0
--movingVolumeTimeIndex 0 0
--medianFilterSize 0,0,0 0,0,0
--ROIAutoDilateSize 0 0
--relaxationFactor 0.5 0.5
--maximumStepSize 0.2   not an option
--maximumStepLength   not an option 0.2
--failureExitCode -1  -1
--debugNumberOfThreads -1   not an option
--numberOfThreads   not an option -1
--debugLevel 0  0
--costFunctionConvergenceFactor 1.00E+09  1.00E+09
--projectedGradientTolerance 1.00E-05  1.00E-05
--maxBSplineDisplacement 0  0
--maximumNumberOfEvaluations   not an option 900
--maximumNumberOfCorrections   not an option 25
--metricSamplingStrategy   not an option  Random
--costMetric   not an option  MMI
--removeIntensityOutliers   not an option 0


--ROIAutoClosingSize   not an option 9


--useExplicitPDFDerivativesMode AUTO   not an option
--useCachingOfBSplineWeightsMode ON   not an option

Results using the above parameters

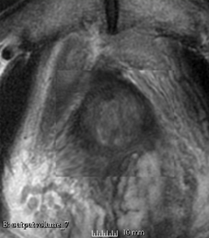
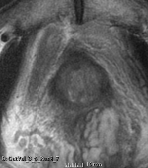
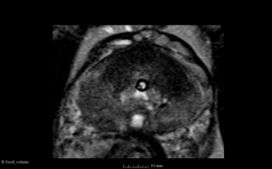
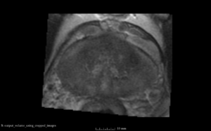
We used this sample data with Reader 1 segmentations to visually evaluate differences in the registration results. All three results of BRAINSFit with ITKv3 in Slicer 3.6 look reasonable. Using BRAINSFit with ITKv4 in Slicer 4.4 creates a reasonable result for Case 7, but look strongly distorted towards the edges of the bounding box in Case 8 and 9.

Case 7
Reference intraop volume
Reg Result Slicer 3.6 with ITKv3
Reg Result Slicer 4.4 with ITKv4
Case 8
Reference intraop volume
Reg Result Slicer 3.6 with ITKv3
Reg Result Slicer 4.4 with ITKv4
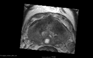
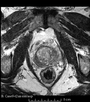
Case 9
Reference intraop volume
Reg Result Slicer 3.6 with ITKv3
Reg Result Slicer 4.4 with ITKv4

Current status

SimpleITK registration code on github: here

Latest update: Mai 18, 2015

Things to do

  • Set ITK_GLOBAL_DEFAULT_NUMBER_OF_THREADS to 1 as described here
  • Write message to ITK mailing list, cc Nicholas Tustin: ask for regularization of the BSpline displacement field
  • look at DICE comparison between Slicer3 and Slicer4 to quantify the problem
  • displace the masks and run with Slicer3 and Slicer4 to quantify the impact of the mask in the registration result

Things that are working

  • exhaustive search based initialization procedure implemented and produces good results (cross-correlation metric) in SimpleITK

Things that are implemented, but are not working

  • SimpleITK code for rigid registration
    • the voxel sampling exception can be avoided by cropping the images sharply around the masks.
Fixed Volume as Reference
SimpleITK result after Initialization
SimpleITK result after rigid registration
BRAINSFit result after rigid without using masks and --useCenterOfGeometryAlign
    • The rigid registration result is too much rotated and translated. Also the number of iteration steps varies with every computation. Reason might be that seed is set randomized and not set as done in BRAINSFit here. There is no option at the SimpleITK::ImageRegistrationMethod to set a metric seed.

Things that are not implemented, but need to be implemented

  • SimpleITK code for affine registration
    • setting affineOptimizer here
    • setting RegistrationMethod here
  • SimpleITK code for BSpline registration (started here)

Unresolved issues out of our direct control

Standing SimpleITK issues

  • no API for consistent initialization of the metric seed
    • The ITKv4 ImageRegistrationMethod random sampling utilizes a fixed seed (here)

Standing ITKv4 issues

Standing Slicer4 issues

References

[1] Fedorov A, Tuncali K, Fennessy FM, Tokuda J, Hata N, et al. (2012) Image registration for targeted MRI-guided transperineal prostate biopsy. J Magn Reson Imaging 36: 987–992. Available: http://dx.doi.org/10.1002/jmri.23688.