Build GUI using Slicer3 Interface

From NAMIC Wiki
Jump to: navigation, search
Home < Build GUI using Slicer3 Interface

Back to NA-MIC Brains Collaboration


Objective:

To develop a new interface to BRAINS that builds upon NA-MIC tools. The interface should support all major platforms including Windows, Mac, Linux, and other Unix flavors.

Progress:

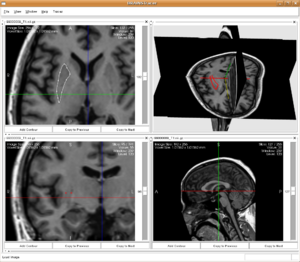
  • A new tracing (editing) tool is being developed to serve as a testing ground for the new GUI. The tracing tool uses the vtkContourWidget and is built on KWWidgets. The Slicer3 look and feel has been integrated. This tracing tool is nearing a beta release and will include the following features
  1. Support for editing in multiple planes simultaneously
  2. Ability to telegraph traces into other planes
  3. Ability to export traces as binary images for integration into Slicer3
  4. Ability to export traces as BRAINS2 mask objects
  5. Traces will be saved in VTK XML format

Key Investigators:

  • University of Iowa: Vincent Magnotta, Hans Johnson, Nancy Andreasen, Kent Williams
  • The MIND Institute: Jeremy Bockholt

Figures:


Links:

Papers: