DBP3:Main

From NAMIC Wiki
Jump to: navigation, search
Home < DBP3:Main
Back to NA-MIC Cores
Featured Article
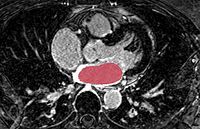
Gao-SPIE2010-fig1.jpg


Past featured articles

Gao Y., Gholami B., MacLeod R.S., Blauer J., Haddad W.M., Tannenbaum A.

Segmentation of the Endocardial Wall of the Left Atrium using Local Region-Based Active Contours and Statistical Shape Learning.

Proceedings of SPIE Medical Imaging 2010.

Abstract

DBP 3 Overview

The NA-MIC Driving Biological Problems (DBP) Core 2 identifies key biological problems to drive NA-MIC projects from 2010 to 2013. From the beginning of the NCBC project, NIH planned for a three year cycle for the DBPs. In accordance with this policy, a new set of DBP's were included in the NA-MIC competitive renewal.

DBP 3 Projects - Organized by Site

Graduation list