DBP:Harvard:Software:Bugs:Corpus Callosum Fibers

From NAMIC Wiki
Jump to: navigation, search
Home < DBP:Harvard:Software:Bugs:Corpus Callosum Fibers
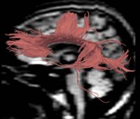
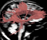
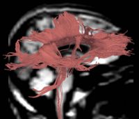
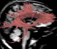
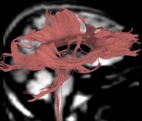
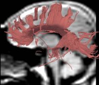
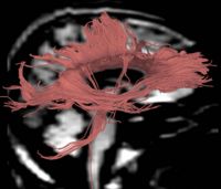
CaseD00724
Left Right
No smoothing
2924 fibers
Mean FA = 0.517
Mean fiber length = 57.199
CaseD00724 L blur0.jpg
CaseD00724 R blur0.jpg
Smoothed 0.5mm
2924 fibers
Mean FA = 0.502
Mean fiber length = 61.787
CaseD00724 L blur05.jpg
CaseD00724 R blur05.jpg
Smoothed 1.0mm
2924 fibers
Mean FA = 0.453
Mean fiber length = 76.321
CaseD00724 L blur10.jpg
CaseD00724 R blur10.jpg
Smoothed 1.5mm
2924 fibers
Mean FA = 0.407
Mean fiber length = 90.056
CaseD00724 L blur15.jpg
CaseD00724 R blur15.jpg
Smoothed 2.0mm
2924 fibers
Mean FA = 0.361
Mean fiber length = 101.572
CaseD00724 L blur20.jpg
CaseD00724 R blur20.jpg
Smoothed 2.5mm
2924 fibers
Mean FA = 0.319
Mean fiber length = 107.411
CaseD00724 L blur25.jpg
CaseD00724 R blur25.jpg



caseD0711
Unsmoothed
2301 fibers
Mean FA = 0.551
Mean fiber length = 49.091
unsmoothed
unsmoothed
Smoothed
2301 fibers
Mean FA = 0.467
Mean fiber length = 71.127
smoothed
smoothed
Smoothed2x
2301 fibers
Mean FA = 0.397
Mean fiber length = 84.803
smoothed 2x
smoothed 2x