Data:FreeData
From NAMIC Wiki
Home < Data:FreeData
Back to NA-MIC Data
Freely Available Data
Several sources have made data available for medical image computing research:
fBIRNfMRI data of 5 healthy subjects scanned multiple times at 10 sites: | |
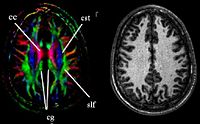
JHU DTISusumu Mori's DTI healty subject archive at JHU. | |
NLM Mayo CollectionA variety of high resolution scans acquired at Mayo clinic and made available by the National Library of Medicine. | |
MIDAS @ KitwareIncludes the following collections:
We welcome the submission of other public data for medical image analysis. | |
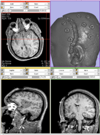
Sample Traumatic Brain Injury DataTwo Sample Cases Provided by LONI |

